🎙️ Voice Topic Search

🎤 Ready to Search

Click the voice button again and speak the topic name you want to search for.

Example: "Heart anatomy", "Brain structure", "Kidney function"


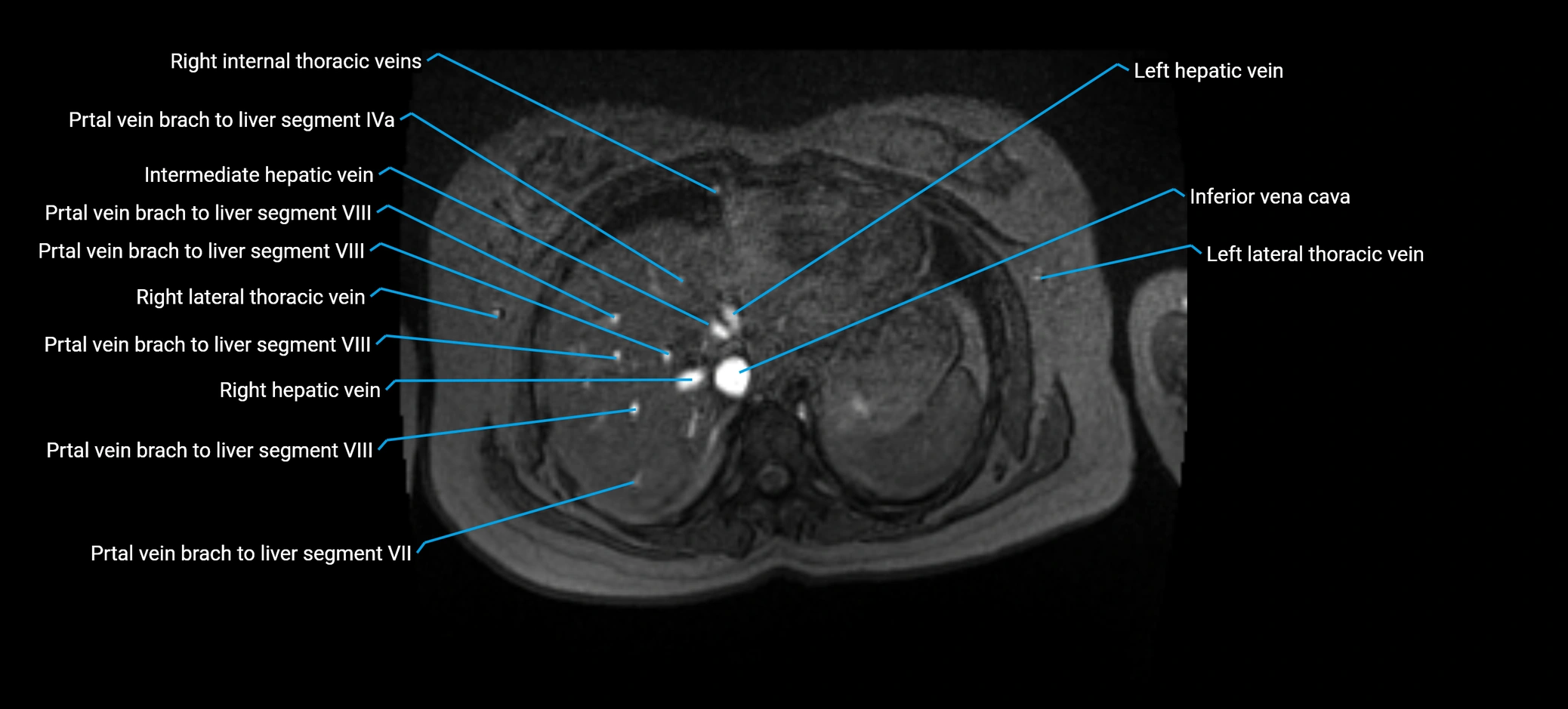
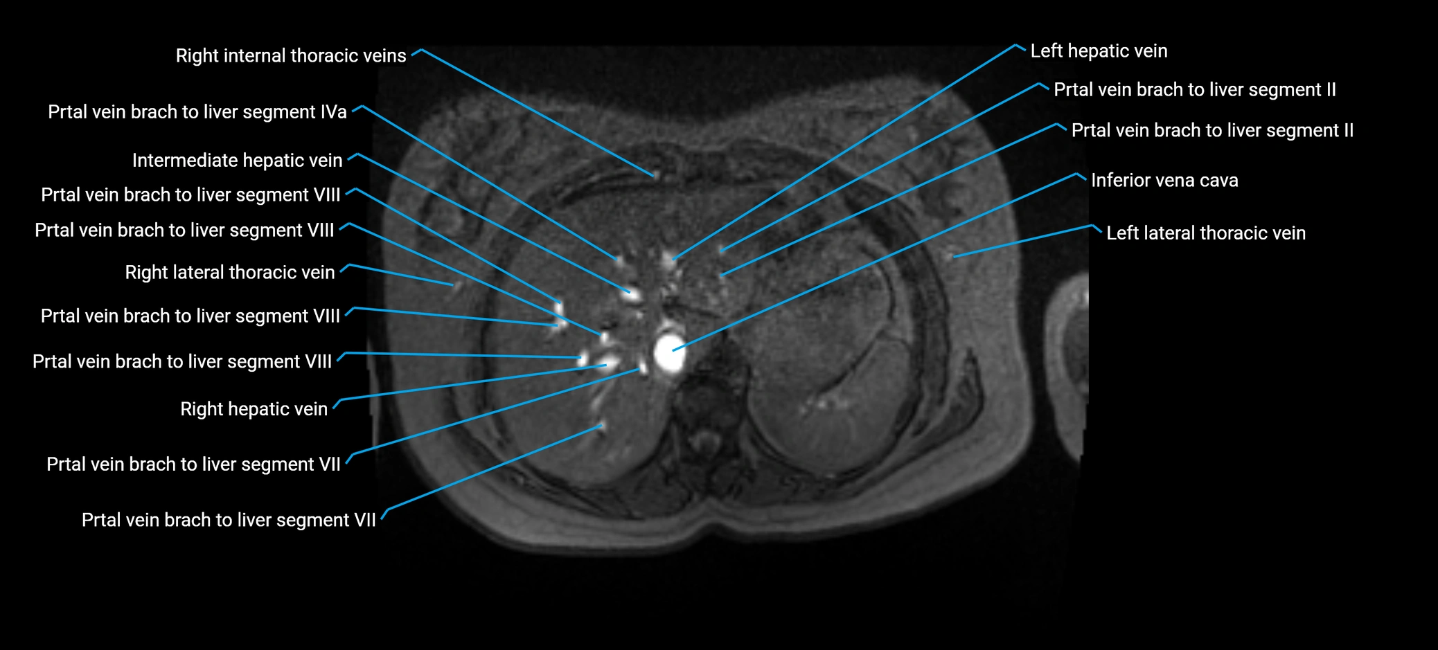
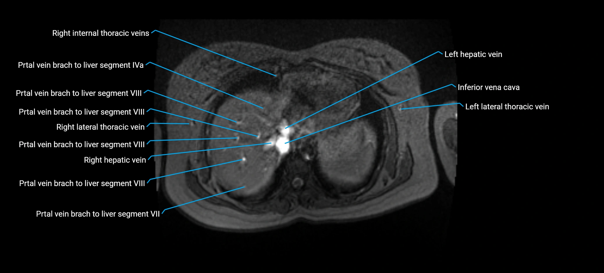
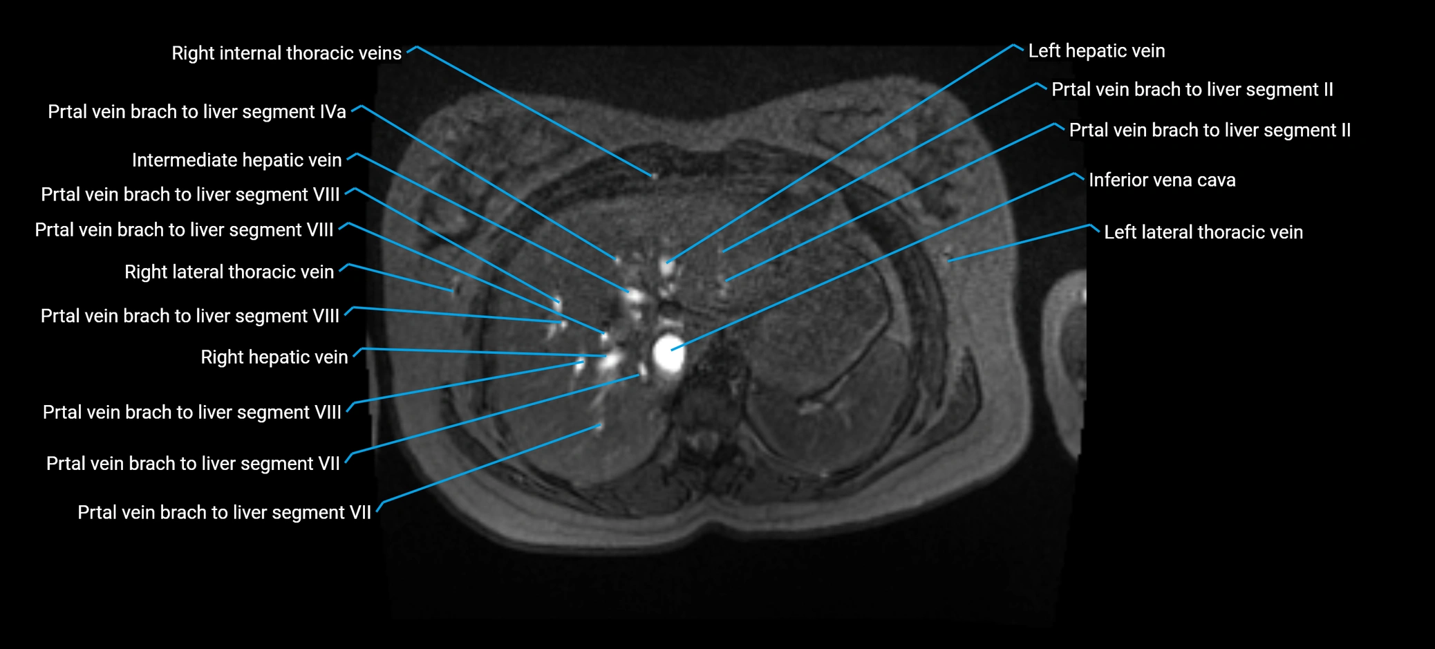
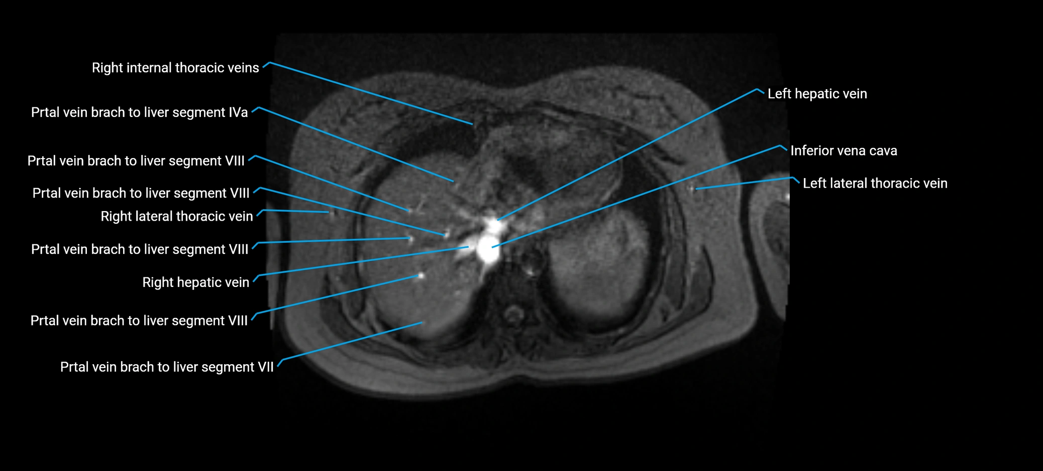
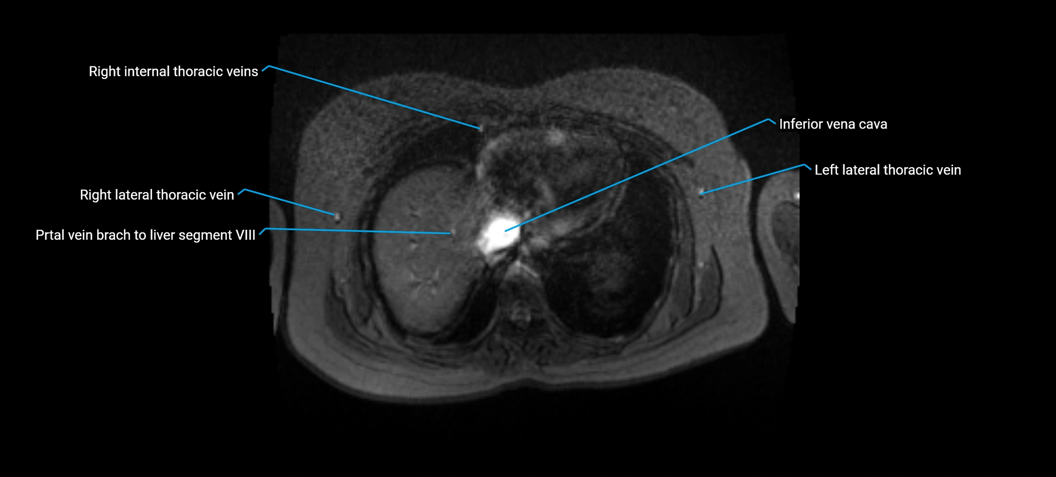
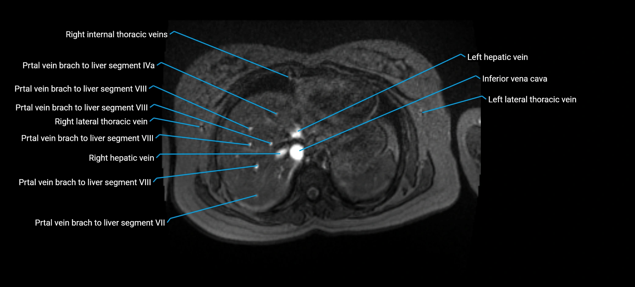
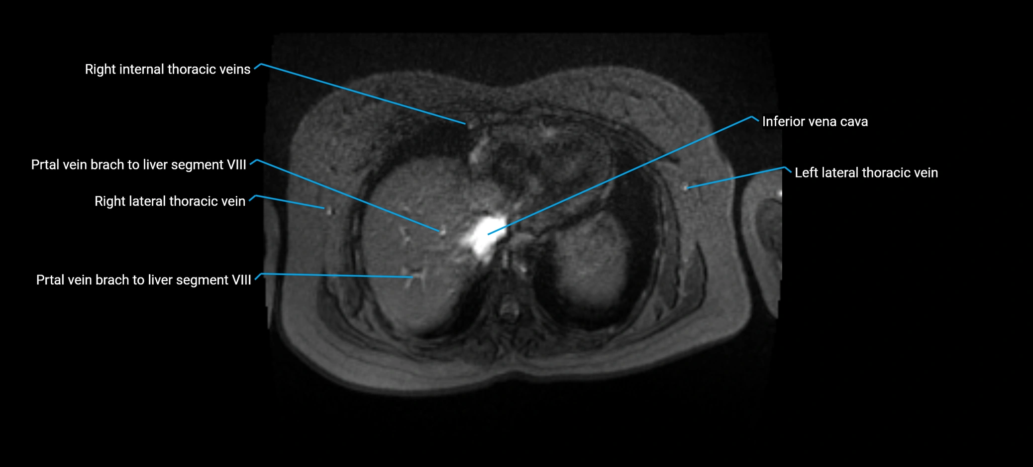
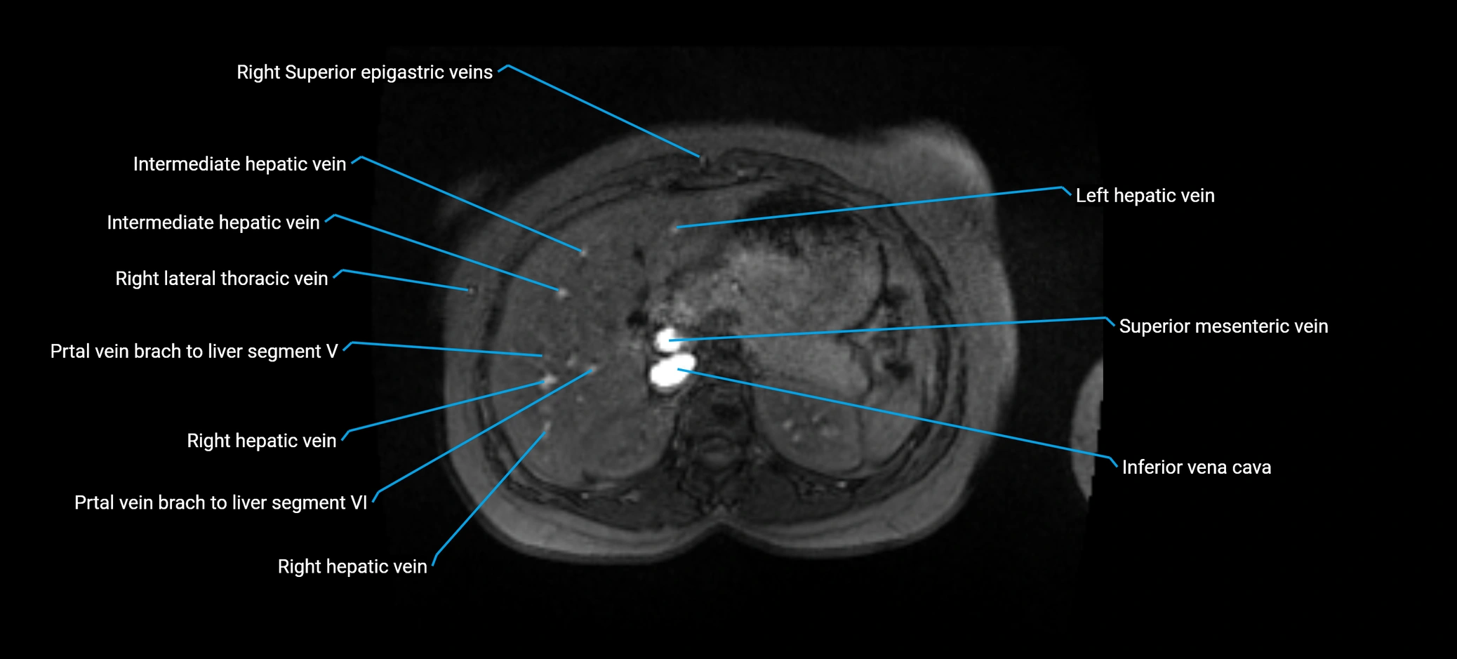
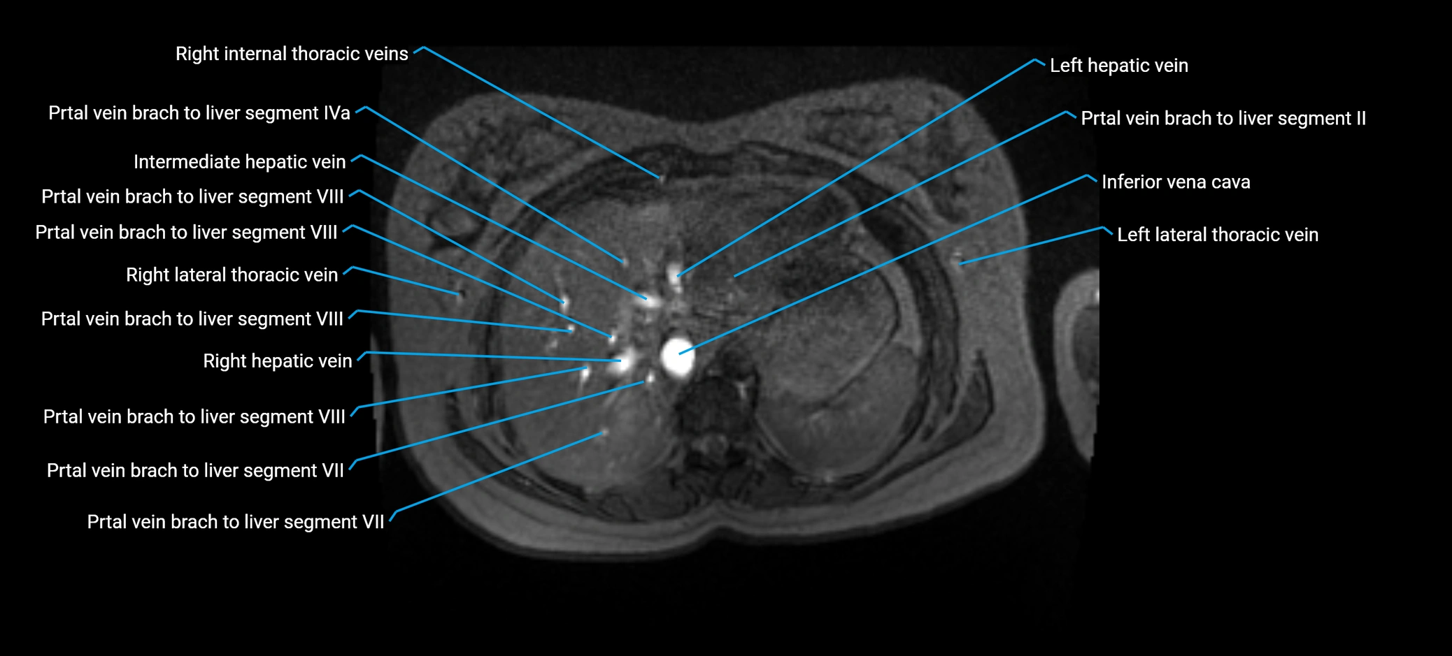
Anterior right branch of portal vein

The anterior right branch of the portal vein is a major intrahepatic division of the right portal vein. After the main portal vein bifurcates into right and left branches, the right portal vein divides into anterior and posterior segmental branches.

The anterior right branch supplies the anterolateral liver segments (Segment V) and anteromedial liver segments (Segment VIII) within the right hepatic lobe. It operates as a key vascular route delivering nutrient-rich portal venous blood to the central and superior right liver.

This segmental vasculature is of major importance in hepatic surgery, embolization, segmental resection, transplantation, and imaging-based liver segmentation.

Synonyms

  • Right anterior portal vein

  • Anterior segmental branch of right portal vein

  • RAPV (Right Anterior Portal Vein)

Origin, Course, and Distribution

Origin:

  • Arises from the right portal vein shortly after it divides from the main portal vein.

Course:

  • Travels anterosuperiorly and laterally within the right hepatic lobe

  • Runs horizontally within the hepatic parenchyma at the level of the portal venous hilum

  • Courses anterior to the posterior segmental branch

Distribution (Hepatic Segments):

  • Segment V (anteroinferior right lobe)

  • Segment VIII (anterosuperior right lobe)

Relations

  • Anteriorly: Hepatic parenchyma of segments V and VIII

  • Posteriorly: Posterior right portal vein branch

  • Superiorly: Hepatic veins draining segments VIII and V

  • Inferiorly: Gallbladder fossa (relationship more pronounced near segment V)

  • Medially: Main portal vein bifurcation

  • Laterally: Peripheral intrahepatic portal venous branches

Function

  • Delivers nutrient-rich portal venous blood to the anterolateral and anterosuperior right liver segments

  • Supports hepatocyte metabolism and bile production in segments V and VIII

  • Acts as a key landmark for segmental hepatic anatomy, surgical planning, and radiologic mapping

Clinical Significance

  • Essential for preoperative planning in hepatic tumor resection

  • Important landmark in TACE, Y-90 radioembolization, and targeted ablation

  • Variants (trifurcation, early branching) influence procedural approach

  • Precise identification reduces postoperative ischemia or unintended segmental devascularization

MRI Appearance

MRV TOF (Time-of-Flight MR Venography):

  • Appears as a bright, high-signal vascular channel representing flowing blood

  • Clearly shows branching pattern of right portal vein into anterior and posterior branches

  • Best in coronal or axial reconstructions for segmental mapping

  • No need for contrast, relies on flow-related enhancement

T1 Fat-Saturated GRE:

  • Portal vein lumen typically dark (flow void)

  • Surrounding hepatic parenchyma: intermediate signal

  • Vessel wall: thin low-signal contour

  • Branching course outlined by bright surrounding fat planes

T2-weighted MRI:

  • Flowing blood within the anterior right portal vein appears as dark flow void

  • Hepatic parenchyma appears moderately bright

  • Excellent for visualizing course and anatomic relationships

  • Biliary radicles appear brighter, helping vascular-ductal differentiation

Post-Contrast T1 Fat-Sat GRE:

  • Enhances brightly and homogeneously during the portal venous phase

  • Clearly delineates branching into segments V and VIII

  • Best sequence for evaluating patency, caliber, and anatomic variants

  • Early arterial phase: minimal enhancement

  • Delayed phase: gradual washout but still brighter than hepatic parenchyma

CT Appearance

Post-Contrast CT (Contrast-Enhanced CT):

  • Portal venous phase:

    • Anterior right portal branch enhances intensely and homogeneously

    • Clearly separates from posterior branch

    • Branching pattern to segments V and VIII sharply defined

  • Arterial phase:

    • Slight enhancement but less conspicuous than in portal phase

  • Coronal and sagittal reconstructions:

    • Optimal visualization of segmental bifurcation

    • Used for preoperative liver mapping

  • CT liver segmentation:

    • RAPV acts as the principal boundary landmark for dividing anterior vs. posterior right hepatic segments

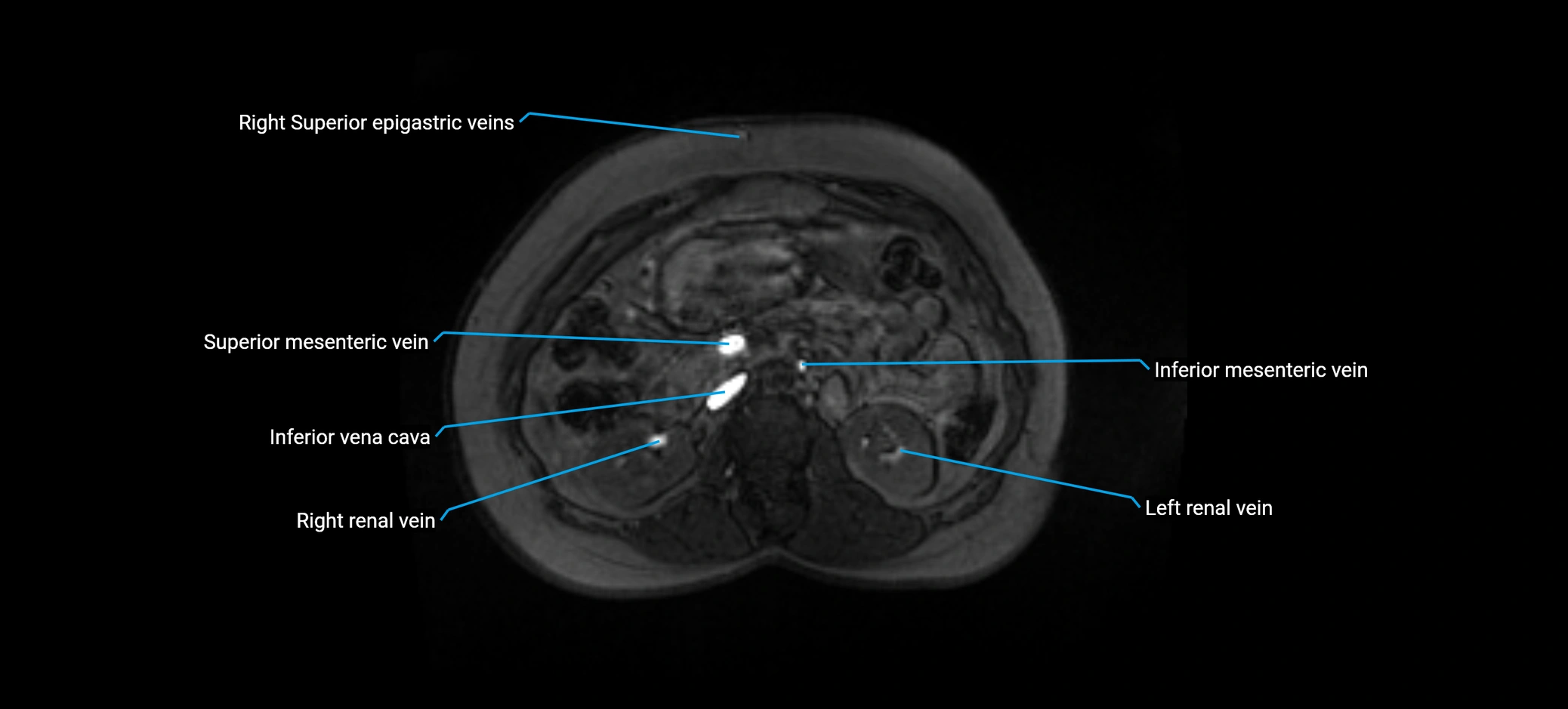
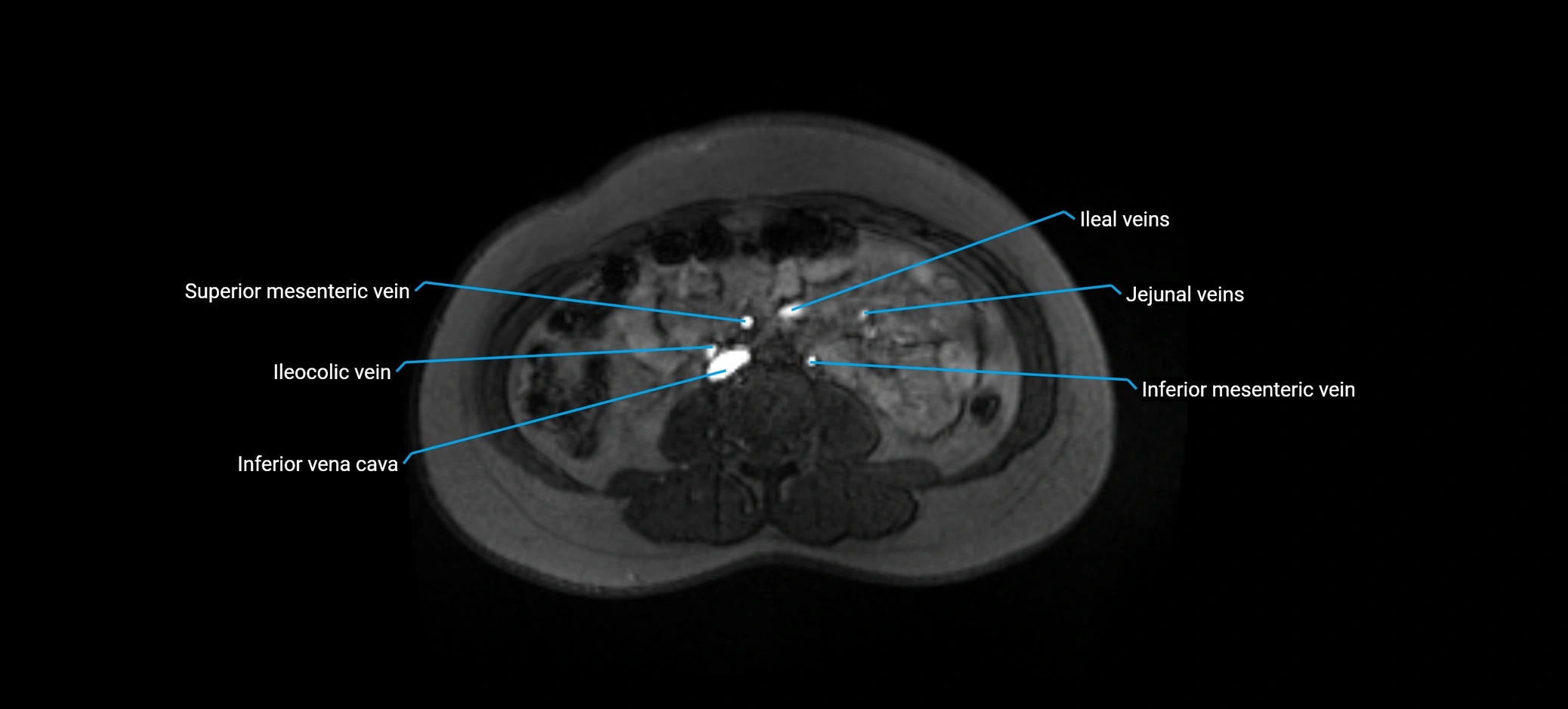
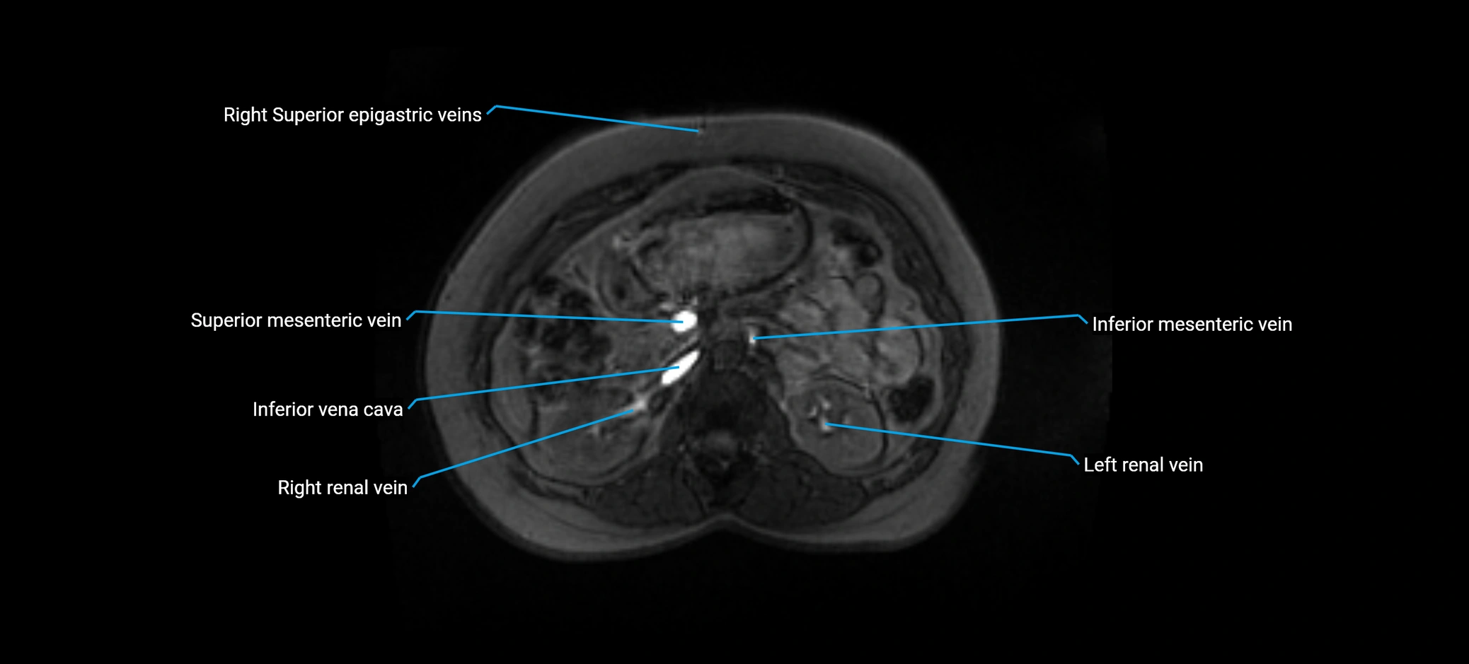
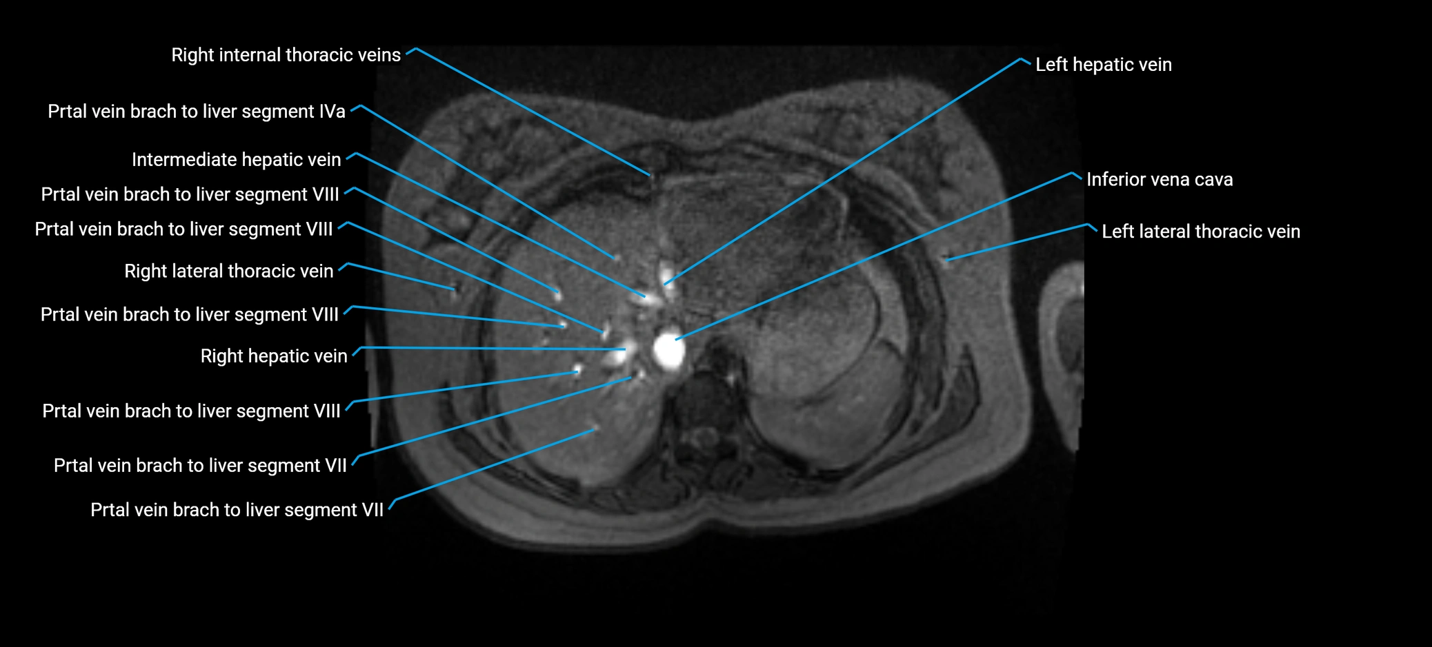
MRI image

image