Topic
- Acute marginal artery (AM)
- Anterior basal segmental artery of left lung
- Anterior basal segmental artery of right lung
- Anterior basal segmental bronchus of right lung (B7+8, B8)
- Anterior basal vein of left lung
- Anterior interventricular sulcus
- Anterior leaflet of left atrioventricular valve
- Anterior papillary muscle
- Anterior segmental artery of left lung
- Anterior segmental artery of right lung
- Anterior segmental bronchus of right lung
- Anterior vein of left lung
- Anterior vein of right lung
- Anteromedial basal bronchus of left lung (B7+8)
- Aortic root
- Aortic sinus
- Aortic valve
- Aortic vestibule
- Apex of the heart
- Apical segmental artery of left lung
- Apical segmental artery of right lung
- Apical segmental bronchus of right lung
- Apicoposterior segmental bronchus of left lung
- Arch of aorta
- Ascending aorta
- Atrioventricular Node (AV Node)
- Atrioventricular bundle (bundle of His)
- Axillary lymph nodes
- Axillary veins
- Azygos vein
- Body of sternum
- Brachial artery
- Brachial veins
- Carina of trachea
- Circumflex artery (LCx)
- Common basal vein of right lung
- Conus arteriosus
- Conus artery
- Coronary sinus
- Coronary sulcus
- Costal cartilages
- Costal notches
- Costal part of diaphragm
- Costochondral joints
- Costovertebral joint
- Crista terminalis
- Crura of diaphragm
- Crural part of diaphragm
- Diaphragm
- Distal left anterior descending artery (dLAD)
- Dorsal scapular vein
- Endocardium
- Epicardium
- First diagonal branch (D1) of LAD
- First obtuse marginal branch
- Gallbladder
- Great cardiac vein
- Heart
- Hemiazygos vein
- Horizontal fissure of right lung
- Inferior lingular bronchus of left lung (B5)
- Inferior lingular vein of left lung
- Inferior lobar artery of right lung
- Inferior phrenic artery
- Inferior thyroid vein
- Inferior tracheobronchial lymph nodes
- Inferior vena cava
- Infraclavicular lymph nodes
- Interatrial septum
- Intercostal muscles
- Interlobar lymph nodes
- Internal thoracic veins
- Intertransversarii muscle
- Interventricular Septum
- Interventricular septal branch S1
- Interventricular septal branch S2
- Jugular venous arch
- Lateral basal segmental artery of left lung
- Lateral basal segmental artery of right lung
- Lateral basal segmental bronchus of left lung (B9)
- Lateral basal segmental bronchus of right lung (B9)
- Lateral basal vein of right lung
- Lateral segmental artery of right Lung
- Lateral segmental bronchus of right lung
- Lateral vein of right lung
- Left Lung (Superior Lobe)
- Left anterior descending artery (LAD)
- Left anterior segmental bronchus (B3a, B3b, B3c)
- Left apicoposterior bronchus (B1+2a, B1+2b)
- Left atrial branch (coronary artery)
- Left atrioventricular valve (mitral or bicuspid valve)
- Left atrium
- Left auricle
- Left brachiocephalic vein
- Left branch of atrioventricular bundle
- Left coronary aortic sinus
- Left hemidiaphragm
- Left inferior lobar bronchus
- Left inferior pulmonary vein
- Left interlobar artery
- Left internal thoracic artery
- Left internal thoracic veins
- Left lung (inferior lobe)
- Left main bronchus
- Left marginal vein
- Left pulmonary artery
- Left subclavian vein
- Left superior lobar bronchus
- Left superior pulmonary vein
- Left ventricle
- Lingular bronchus of left lung
- Lingular vein of left lung
- Lumbar part of diaphragm
- Manubrium of sternum
- Medial segmental artery of right lung
- Medial segmental bronchus of right lung (B5)
- Medial vein of right lung
- Median arcuate ligament
- Middle cardiac vein
- Middle lobar artery of right lung
- Myocardium
- Noncoronary aortic sinus
- Oblique fissure of left lung
- Oblique fissure of right lung
- Oblique pericardial sinus
- Oblique vein of left atrium
- Opening of inferior vena cava
- Opening of superior vena cava
- Openings of pulmonary veins
- Oval fossa of right atrium
- Pancreas
- Pectinate muscles
- Pericardial cavity
- Pericardium
- Phrenicomediastinal recess
- Phrenoesophageal ligament
- Pleura
- Posterior basal segmental artery of left lung
- Posterior basal segmental artery of right lung
- Posterior basal segmental bronchus of left lung (B10)
- Posterior basal segmental bronchus of right lung (B10)
- Posterior basal vein of left lung
- Posterior basal vein of right lung
- Posterior intercostal arteries
- Posterior intercostal veins
- Posterior interventricular sulcus
- Posterior leaflet of left atrioventricular valve
- Posterior papillary muscle
- Posterior segmental artery of left lung
- Posterior segmental artery right lung
- Posterior segmental bronchus of right lung
- Posterior vein of left ventricle
- Posterior vein of right lung
- Pulmonary trunk
- Pulmonary valve
- Right anterior segmental bronchus (B3)
- Right apical segmental bronchus (B1)
- Right atrioventricular valve (tricuspid valve)
- Right atrium
- Right auricle of heart
- Right brachiocephalic vein
- Right branch of atrioventricular bundle
- Right coronary aortic sinus
- Right coronary artery (RCA)
- Right crus of diaphragm
- Right fibrous trigone
- Right hemidiaphragm
- Right inferior lobar bronchus
- Right inferior pulmonary vein
- Right interlobar artery
- Right intermediate bronchus
- Right internal thoracic artery
- Right internal thoracic veins
- Right lung (inferior lobe)
- Right lung (middle lobe)
- Right lung (superior lobe)
- Right main bronchus
- Right marginal vein of heart
- Right middle lobar bronchus
- Right middle lobe bronchus
- Right middle lobe vein
- Right posterior descending coronary artery (Right PDA)
- Right posterior segmental bronchus (B2, B2a, B2b)
- Right pulmonary artery
- Right subclavian vein
- Right superior lobar bronchus
- Right superior pulmonary vein
- Right ventricle
- Second diagonal branch (D2) of LAD
- Sinoatrial nodal artery
- Sinoatrial node (SA node)
- Sinus of venae cavae (sinus venarum)
- Small cardiac vein
- Spleen
- Splenic branches of splenic artery
- Sternal end of the clavicle
- Sternal part of diaphragm
- Sternohyoid muscle
- Sternum
- Subcarinal lymph nodes
- Subsuperior segmental artery of right lung
- Sulcus terminalis of heart
- Superior lingular artery of left lung
- Superior lingular bronchus of left lung (B4)
- Superior lingular vein of left lung
- Superior lobar artery left lung
- Superior lobar artery of right lung
- Superior segmental artery of left lung
- Superior segmental artery of right lung
- Superior segmental bronchus of right lung (B6)
- Superior sternopericardial ligaments
- Superior tracheobronchial lymph nodes
- Superior vein of left lung
- Superior vein of right lung
- Superior vena cava
- Suprascapular vein
- Third diagonal branch (D3) of LAD
- Thoracic duct
- Thoracodorsal vein
- Trabeculae carneae
- Tracheal bifurcation
- Transverse pericardial sinus
- Valve of coronary sinus
- Vertebral vein
- Xiphoid process of sternum
- interspinales muscles
- left main coronary artery (LMCA)
The acute marginal artery (AM) is one of the main branches of the right coronary artery (RCA). It typically arises from the mid to distal segment of the RCA and courses along the acute margin (right inferolateral border) of the right ventricle. The AM artery runs within the epicardial fat and supplies blood primarily to the right ventricular free wall.
The number and size of AM branches vary: most individuals have one dominant acute marginal artery, but some may have multiple smaller branches. The vessel is of high clinical importance in right ventricular infarction, since occlusion or disease of the RCA or AM branch can compromise right ventricular contractility and systemic venous return.
Synonyms
-
Right marginal artery
-
Acute marginal branch of RCA
-
AM branch
Function
-
Supplies arterial blood to the right ventricular free wall
-
Contributes to perfusion of the inferolateral right ventricle
-
Supports right ventricular contractility, especially under stress or exercise
-
Plays a role in coronary collateral circulation with branches of the LAD and posterior descending artery (PDA)
Branches
-
Usually a single dominant branch from the RCA
-
May give rise to multiple small epicardial branches to the right ventricular myocardium
-
Connects with collateral branches from the LAD septal perforators and PDA in some individuals
MRI Appearance
T1-weighted images:
-
Lumen appears as a signal void (black) due to flowing blood
-
Vessel wall hypointense; adjacent epicardial fat provides contrast
T2-weighted images:
-
Flow void persists
-
Perivascular edema or infarcted right ventricular myocardium appears hyperintense
STIR (Short Tau Inversion Recovery):
-
Highlights edema or inflammation in the right ventricular myocardium supplied by the AM artery
-
Infarcts or myocarditis in AM territory appear bright hyperintense
T1 Post-Contrast (Gadolinium-enhanced):
-
Lumen enhances brightly
-
Myocardial late gadolinium enhancement (LGE) shows infarcts or scarring in right ventricular free wall supplied by the AM
MRI Non-Contrast Cardiac-Gated 3D Coronary MRA:
-
Depicts AM artery as a bright enhancing tubular structure without contrast
-
Shows origin from the RCA and course along the acute margin
-
Useful for congenital anomaly evaluation or RCA/AM stenosis in patients with renal impairment
CT Appearance
Non-contrast CT (Calcium Scoring):
-
AM artery visualized for coronary calcium scoring
-
Calcified plaques appear as hyperdense foci; scored with Agatston method
CT Coronary Angiography (CCTA):
-
Best non-invasive modality for acute marginal artery visualization
-
Shows origin, course along the acute margin, and right ventricular branches
-
Detects stenosis, occlusion, calcified and non-calcified plaques, aneurysm, or anomalous course
-
Multiplanar reformats and 3D reconstructions help in pre-PCI and surgical planning
-
Critical for assessing right ventricular infarction risk in RCA disease
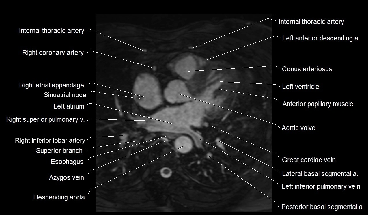
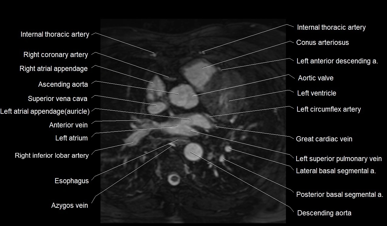
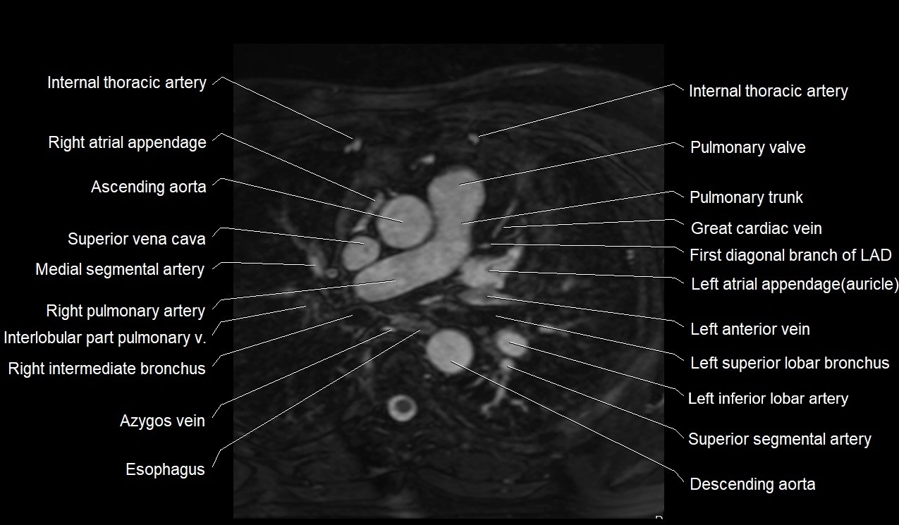
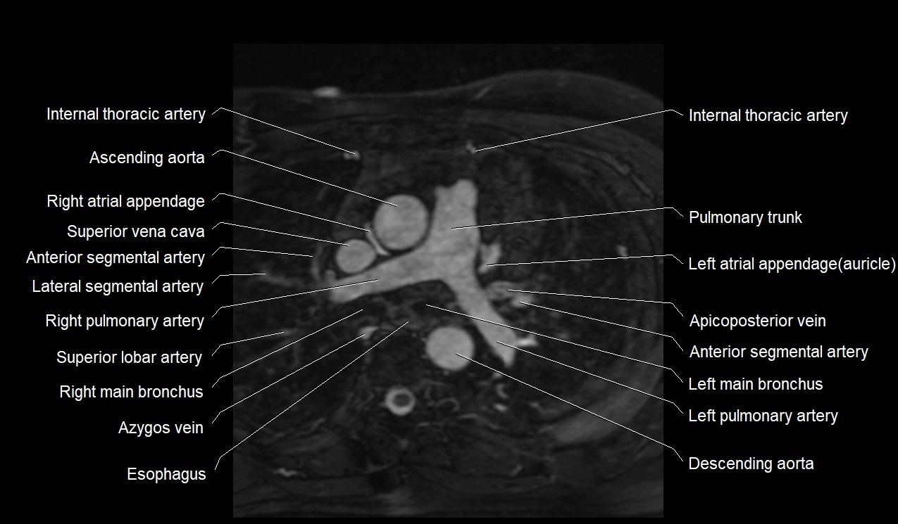
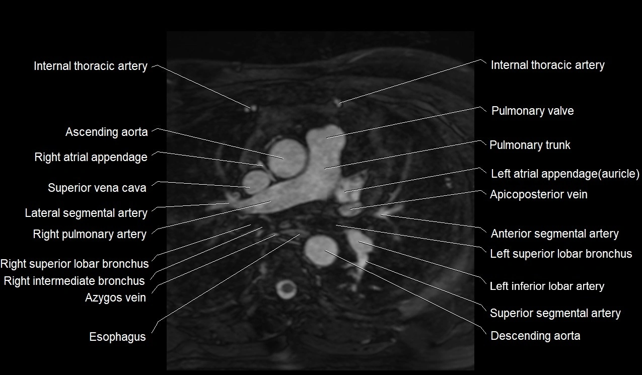
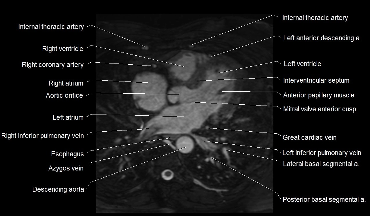
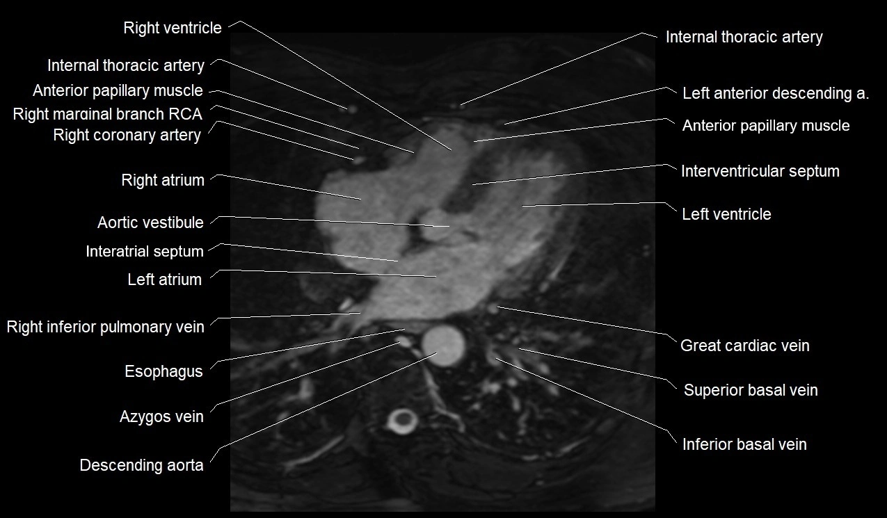
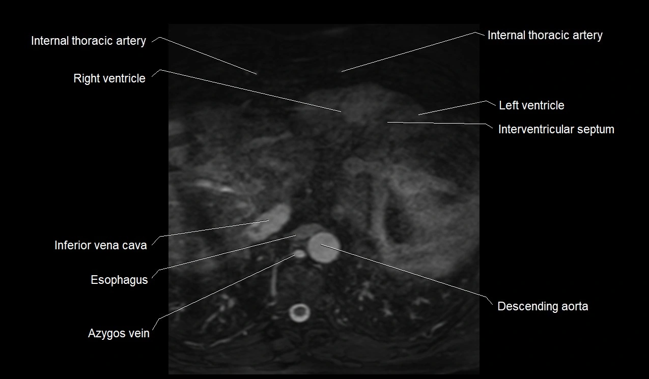
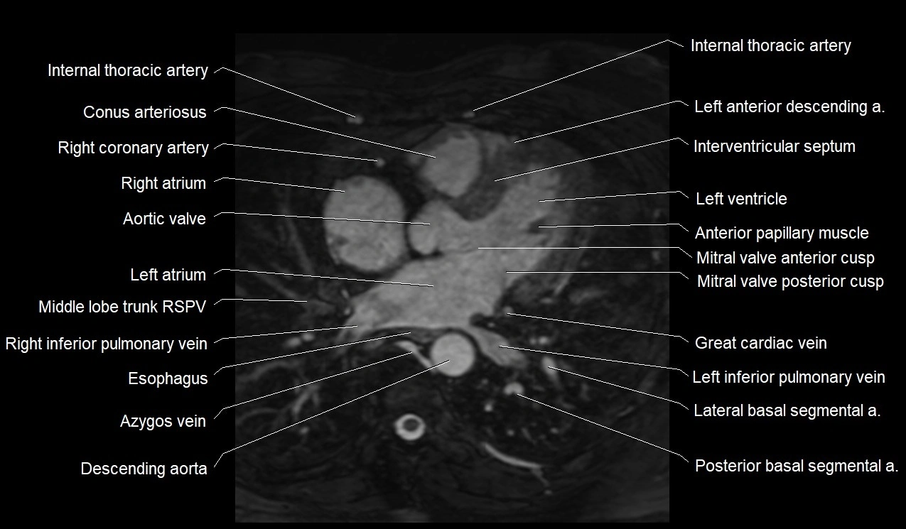
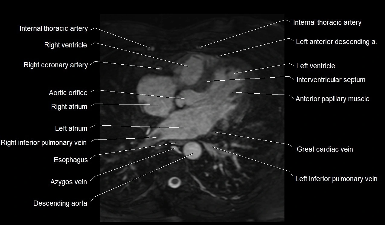
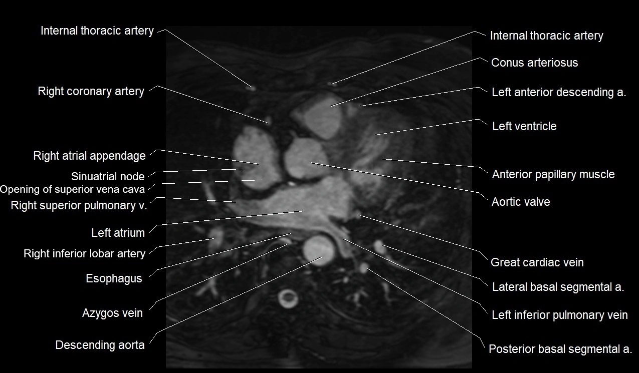
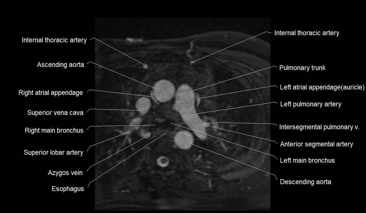
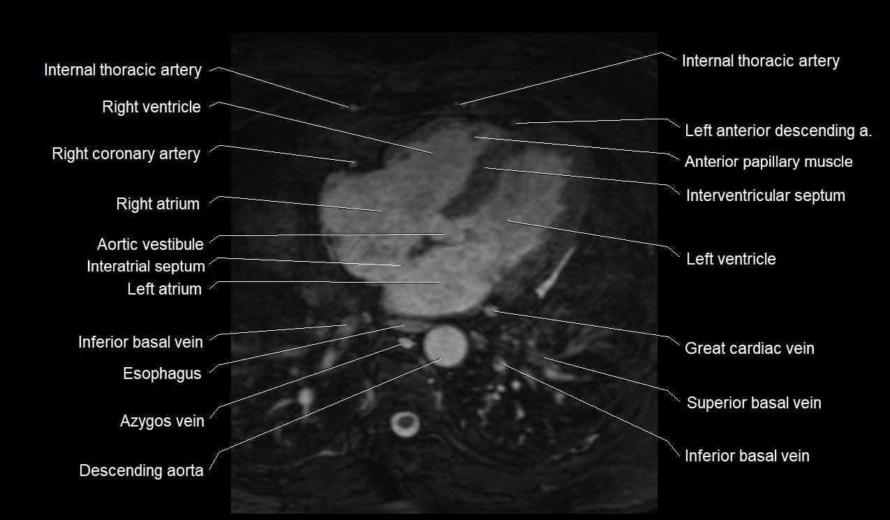
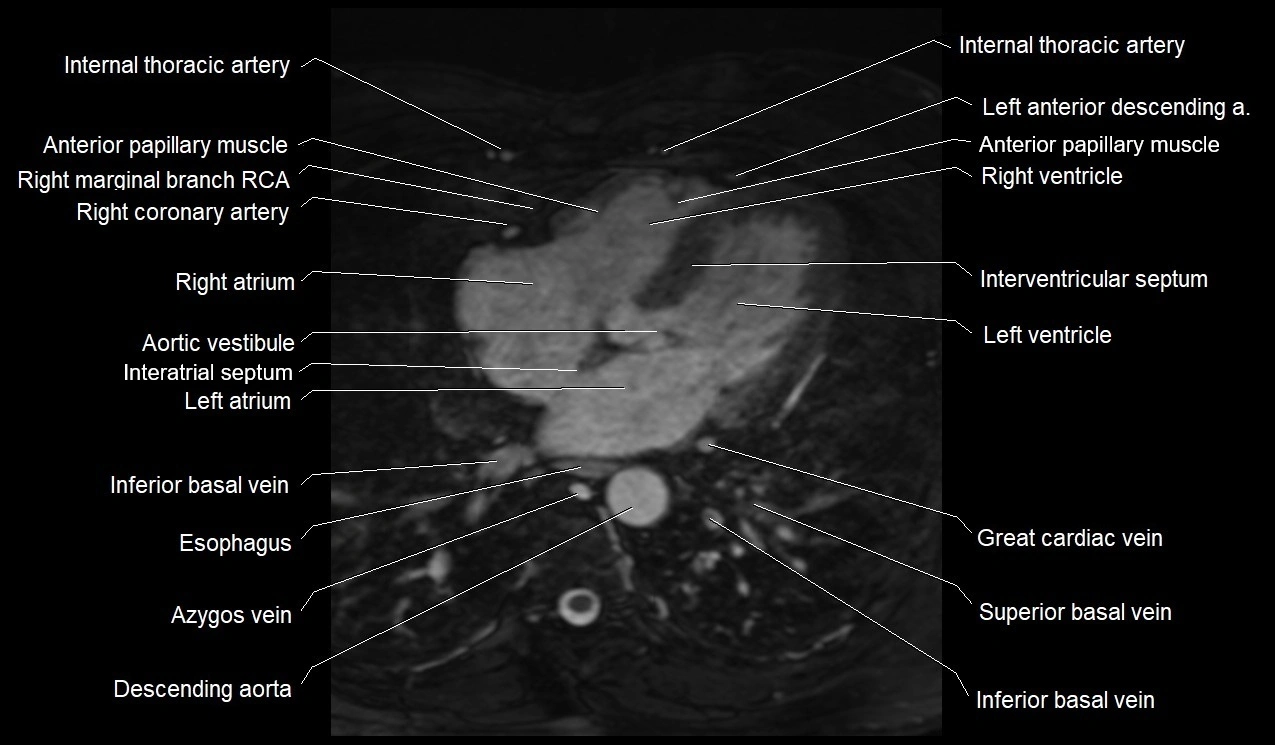
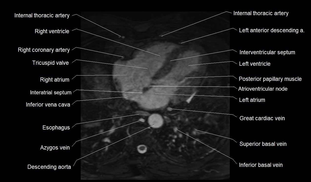
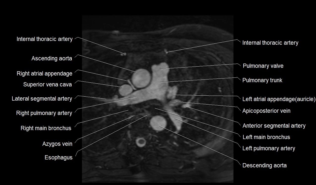
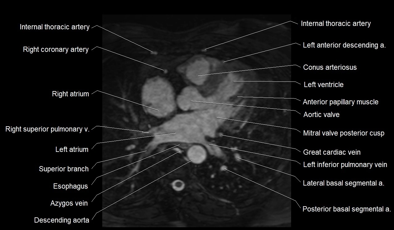
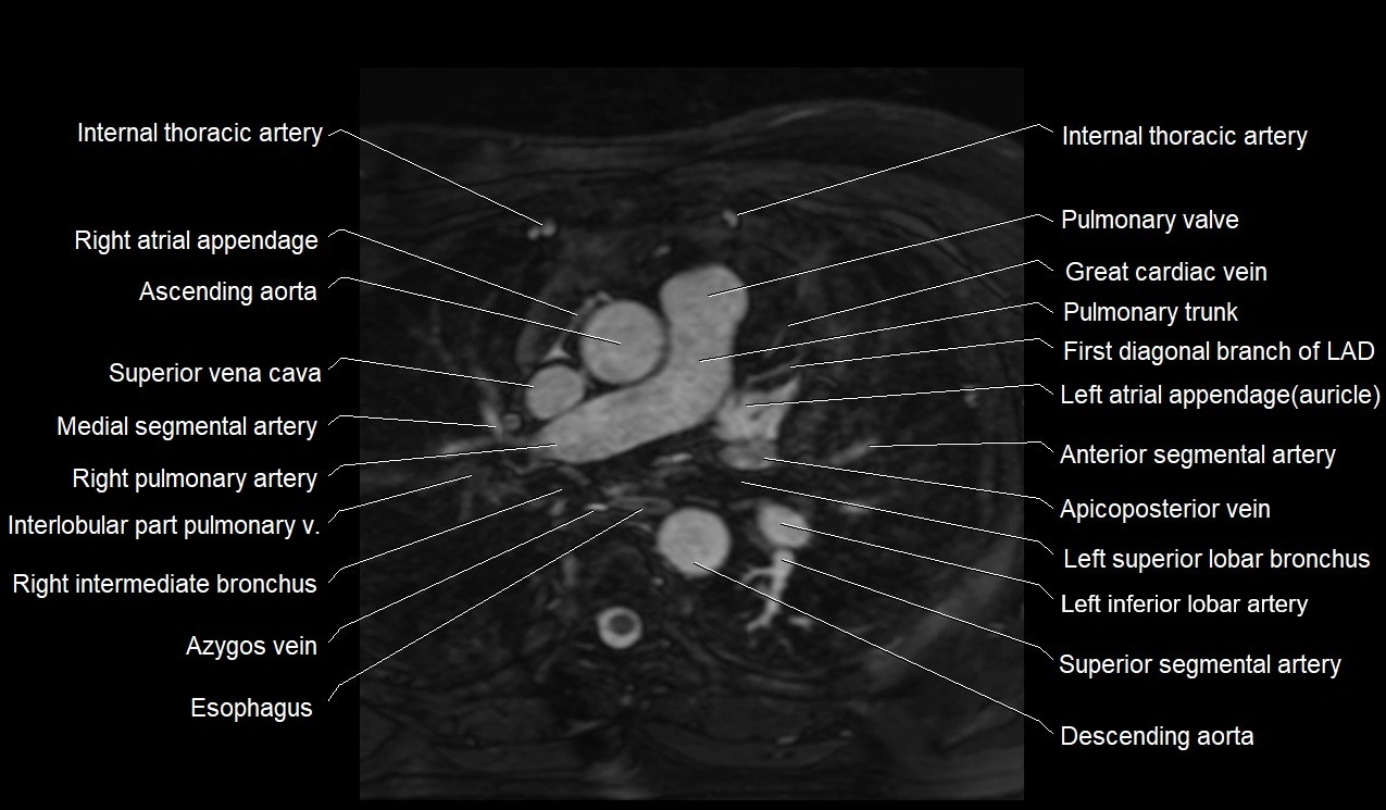
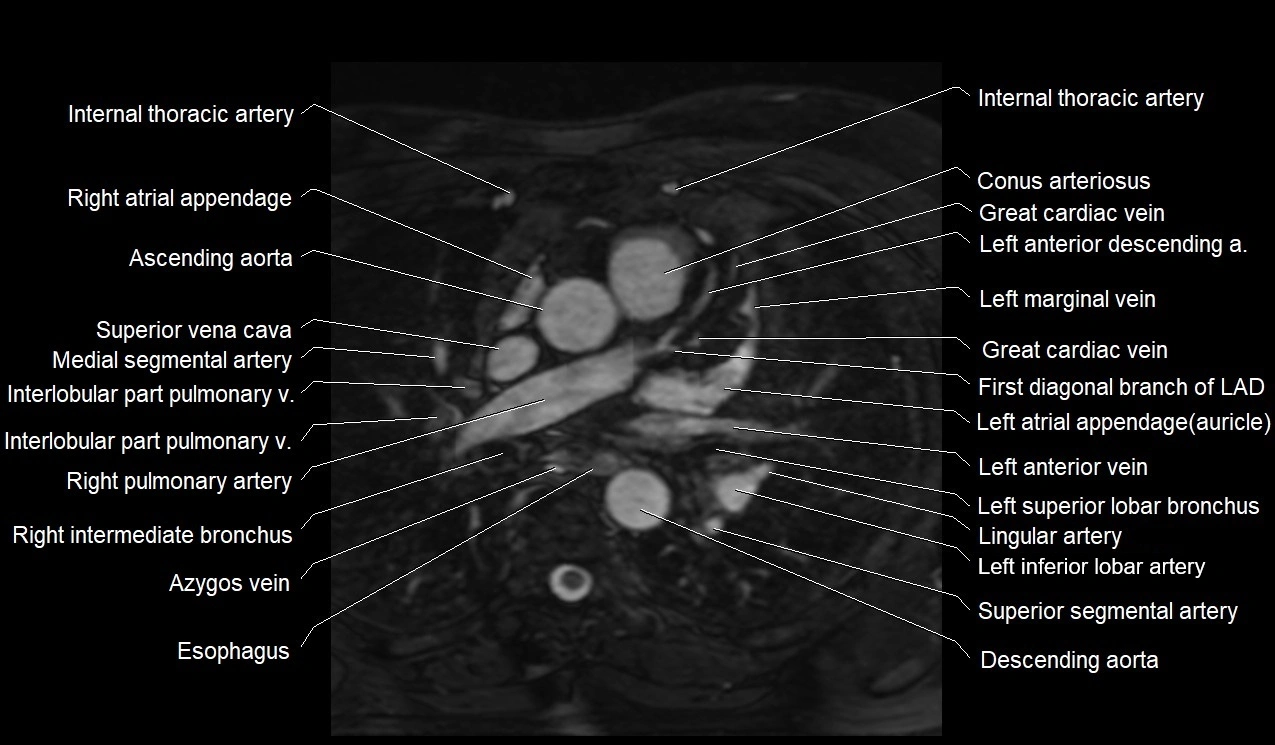
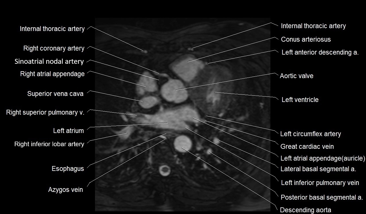
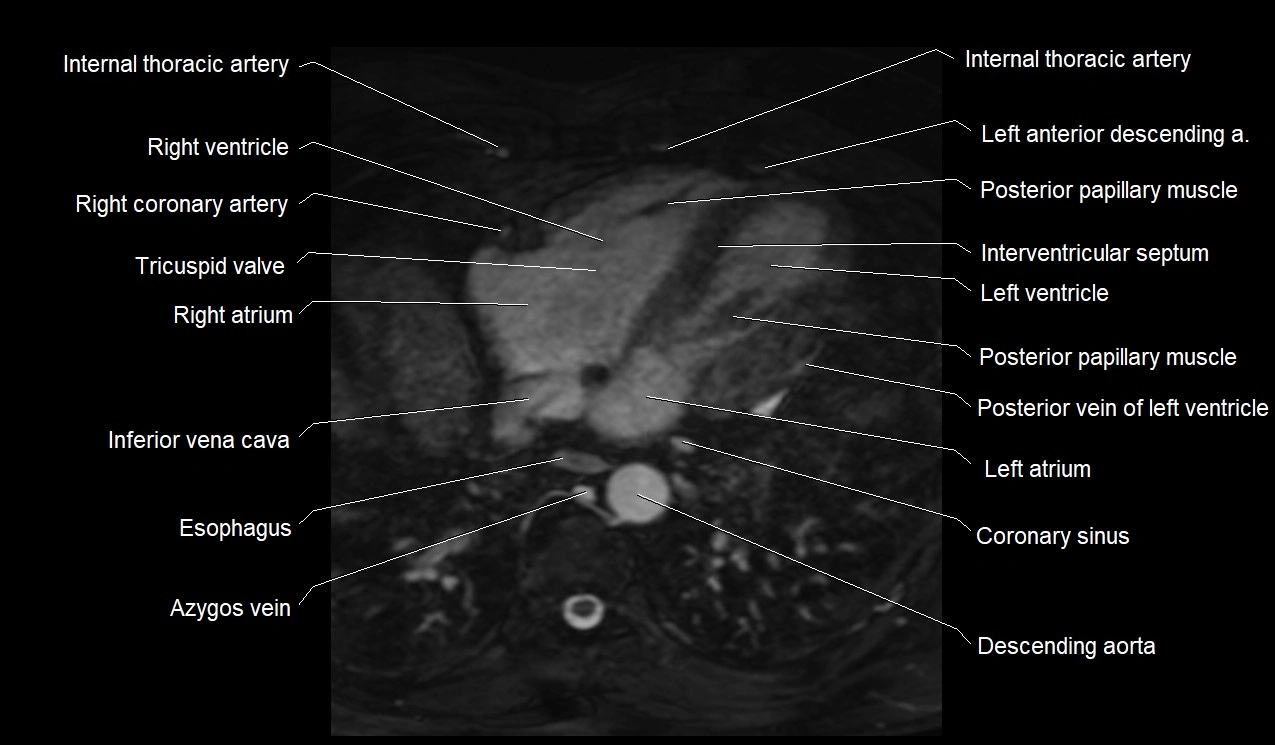
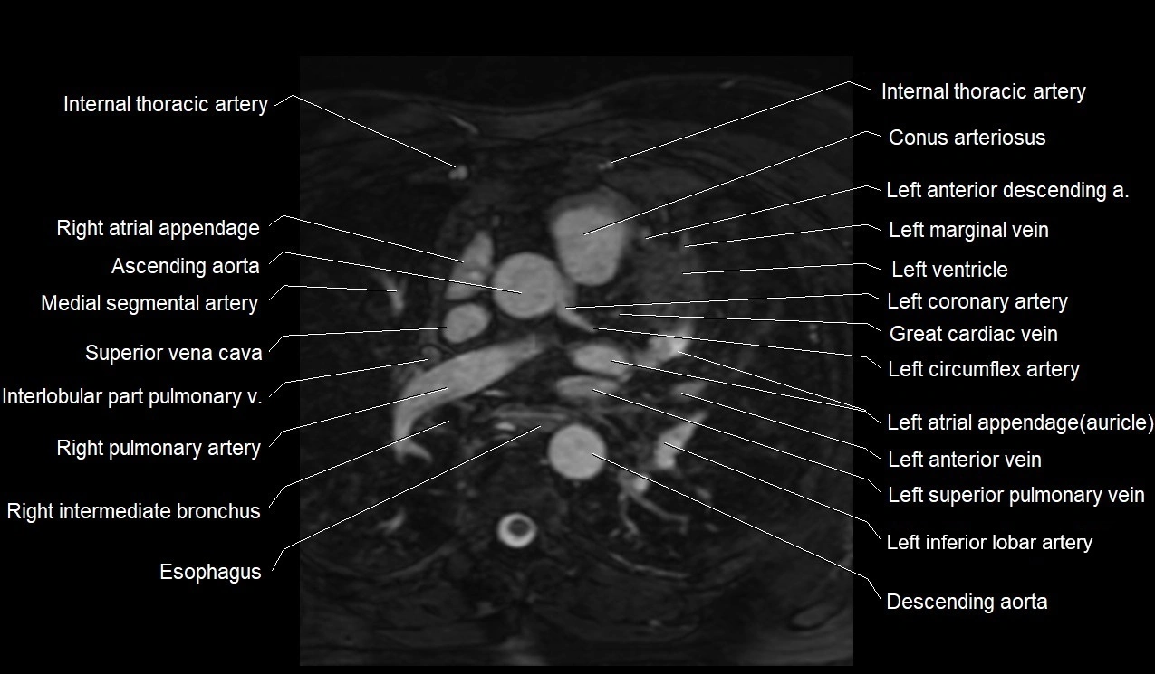
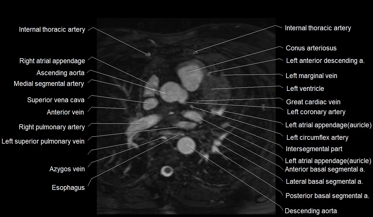
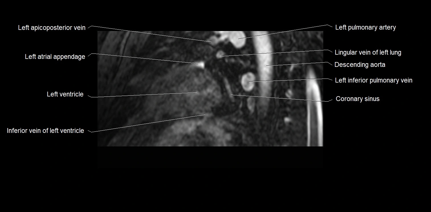
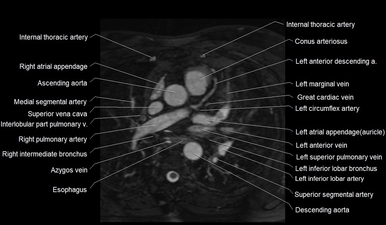
MRI image
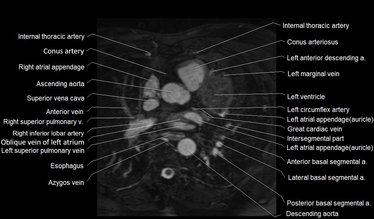
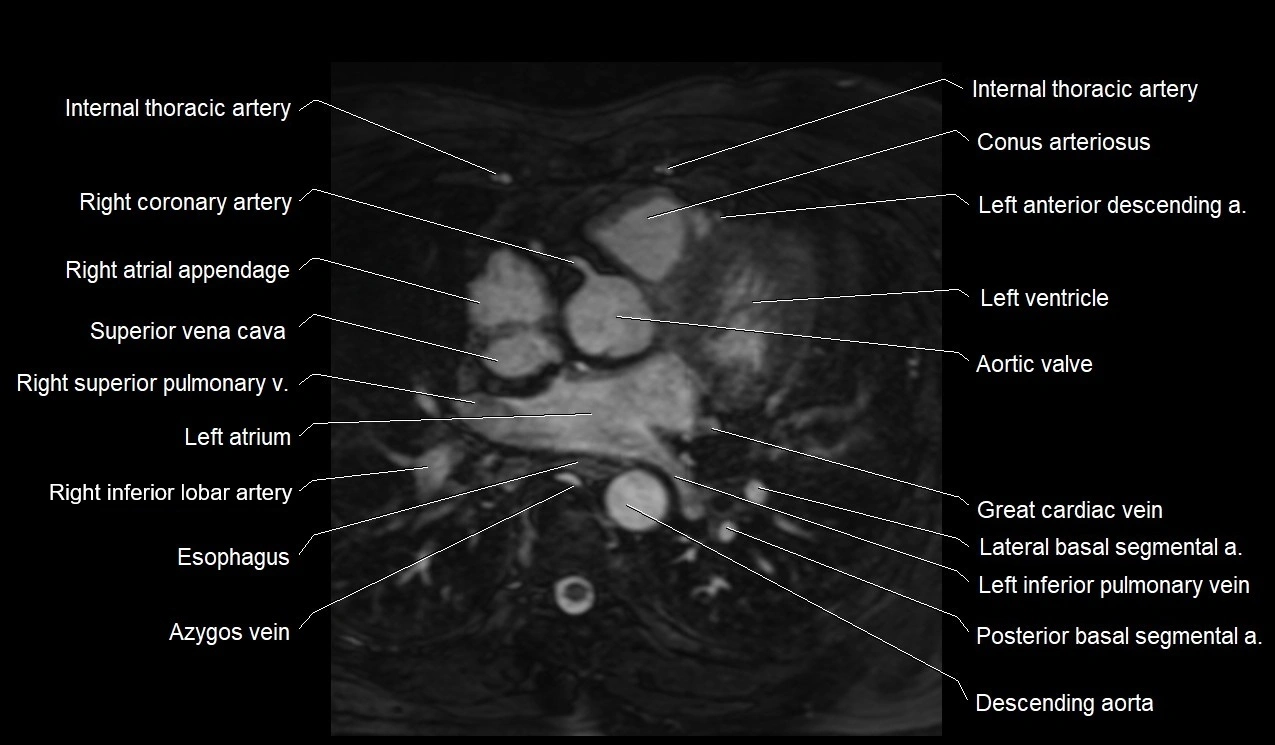
CT images