🎙️ Voice Topic Search

🎤 Ready to Search

Click the voice button again and speak the topic name you want to search for.

Example: "Heart anatomy", "Brain structure", "Kidney function"


design image
Anterior cruciate ligament

The anterior cruciate ligament (ACL) is one of the major stabilizing ligaments of the knee. It lies within the joint capsule but outside the synovial cavity. The ACL extends obliquely through the intercondylar notch, connecting the tibia to the femur, and resists anterior translation of the tibia relative to the femur. It is crucial for maintaining stability during pivoting, cutting, and deceleration movements, making it one of the most frequently injured structures in sports.

Synonyms

  • ACL

  • Ligamentum cruciatum anterius

  • Anterior cruciate of the knee

Origin and Insertion

  • Origin:

    • Arises from the anterior intercondylar area of the tibia, just medial to the tibial spine

  • Course:

    • Passes superiorly, posteriorly, and laterally through the intercondylar notch of the femur

    • Lies anterior to the posterior cruciate ligament (PCL) and crosses it obliquely, forming the cruciate arrangement

  • Insertion:

    • Attaches to the posterior aspect of the medial surface of the lateral femoral condyle within the intercondylar fossa

Relations

  • Anteriorly: Anterior horn of the medial meniscus and infrapatellar fat pad

  • Posteriorly: Posterior cruciate ligament (PCL)

  • Medially: Medial femoral condyle

  • Laterally: Lateral femoral condyle wall of the intercondylar notch

  • Superiorly: Synovium of the suprapatellar pouch

  • Inferiorly: Tibial plateau and anterior horns of menisci

Nerve Supply

  • Branches from the posterior articular nerve of the tibial nerve

  • Contributes to proprioception via mechanoreceptors

Arterial Supply

  • Middle genicular artery (primary supply)

  • Contributions from medial and lateral inferior genicular arteries

Venous Drainage

  • Drains via genicular veins into the popliteal vein

Function

  • Prevents anterior translation of the tibia relative to the femur

  • Resists hyperextension and excessive internal rotation of the tibia

  • Provides rotational stability during pivoting movements

  • Contains mechanoreceptors contributing to joint proprioception

Clinical Significance

  • Most commonly injured knee ligament in sports (pivoting, twisting injuries)

  • Injury leads to knee instability, “giving way,” and risk of meniscal tears and osteoarthritis

  • Frequently evaluated on MRI for tears, sprains, and post-surgical graft assessment

  • Important in ACL reconstruction surgery for knee stability restoration

MRI Appearance

T1-weighted images:

  • Normal ACL appears as a low-signal band-like structure crossing the intercondylar notch

  • Surrounded by intermediate signal synovial fluid and fat planes

T2-weighted images:

  • Normal ACL remains low signal

  • Partial or complete tears appear as discontinuity, increased signal, or fiber laxity

STIR (Short Tau Inversion Recovery):

  • Normal ACL shows dark low signal

  • Acute injury shows bright hyperintensity due to edema and hemorrhage

Proton Density Fat-Saturated (PD FS):

  • Normal ACL: dark, low-signal band

  • Tears: bright intraligamentous hyperintensity, discontinuity, or abnormal course

T1 Fat-Sat Post-Contrast:

  • Normal ACL shows little or no enhancement

  • Inflamed, vascularized, or reconstructed grafts may show enhancement

  • Post-surgical scarring or synovitis may show enhancing tissue around graft

CT Appearance

Non-Contrast CT:

  • ACL is not well visualized directly

  • Can assess bony landmarks, intercondylar notch morphology, and tibial eminence fractures associated with ACL injury

Post-Contrast CT (CT Arthrography):

  • Contrast outlines joint structures

  • May demonstrate indirect signs of ACL tear (contrast leaking into abnormal spaces, displaced meniscus, or widened intercondylar notch)

  • 3D CT reconstructions useful for pre-surgical planning of ACL reconstruction

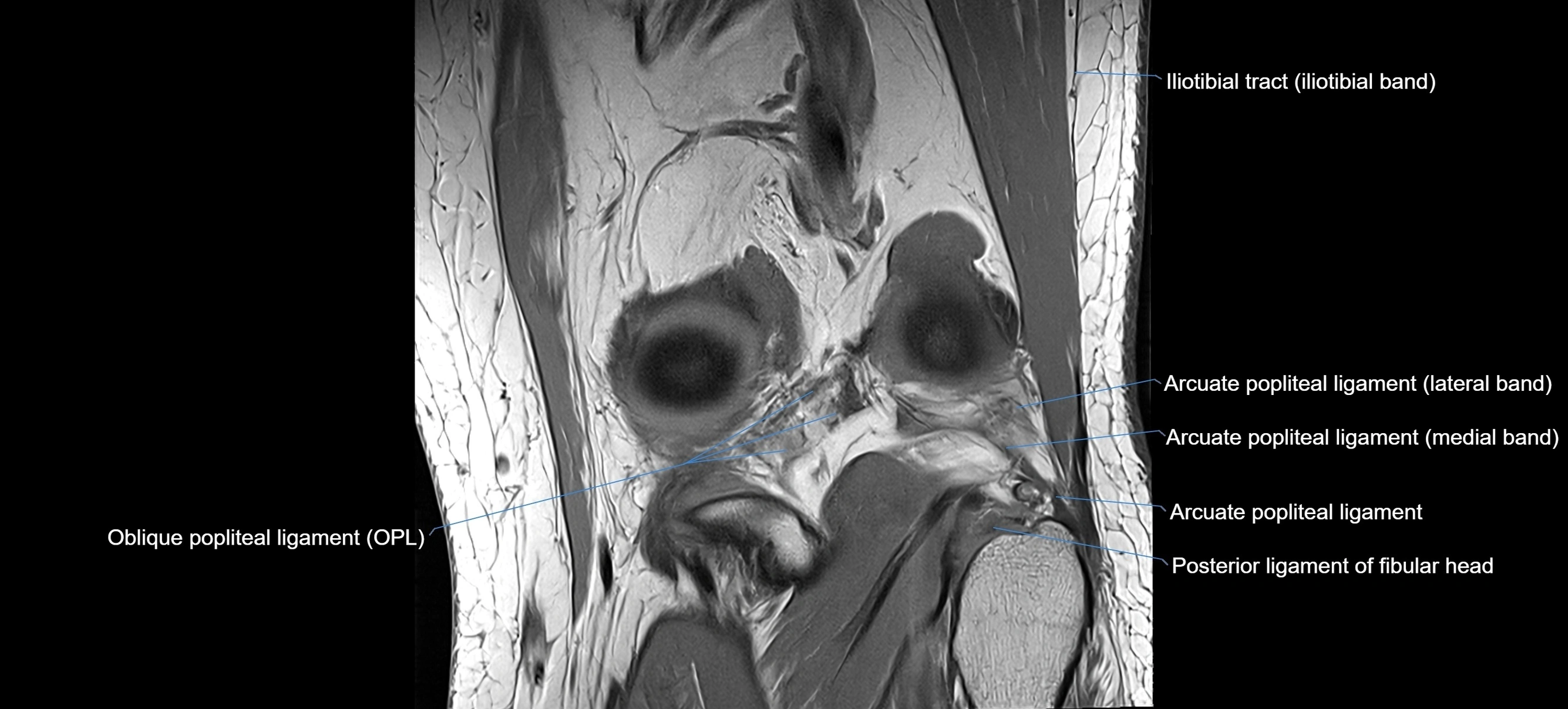
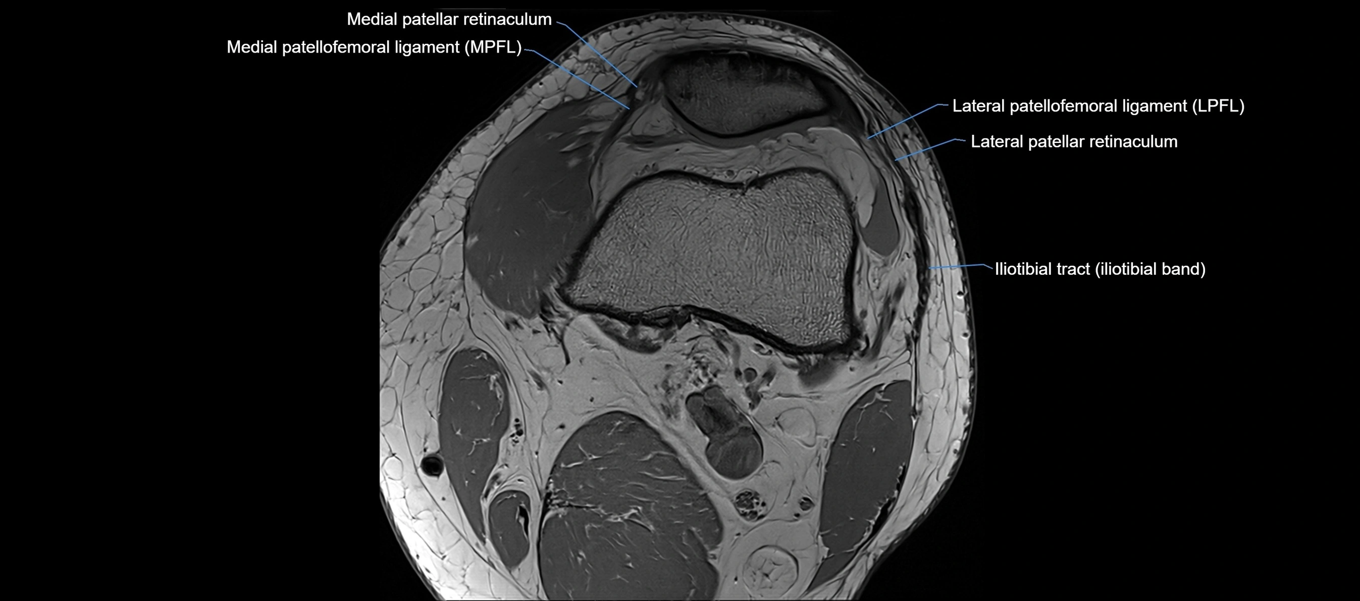
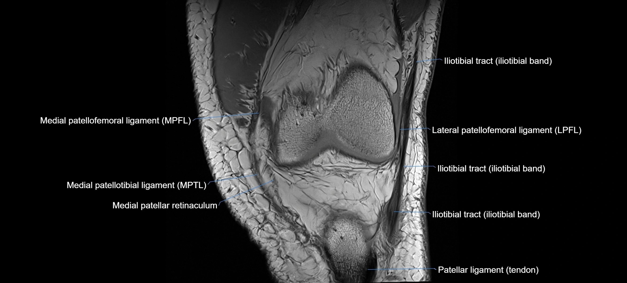
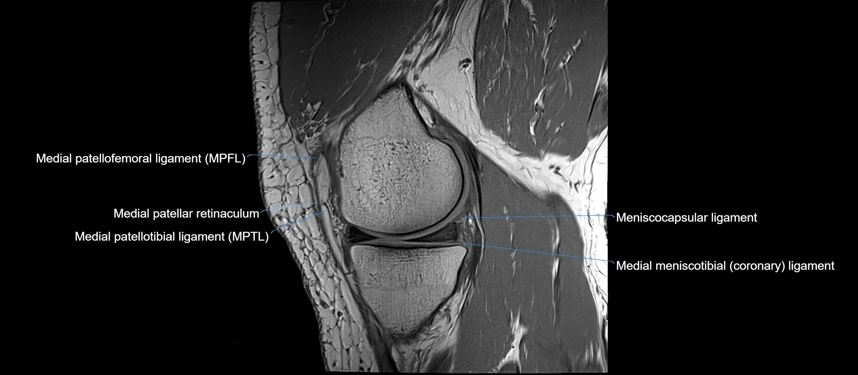
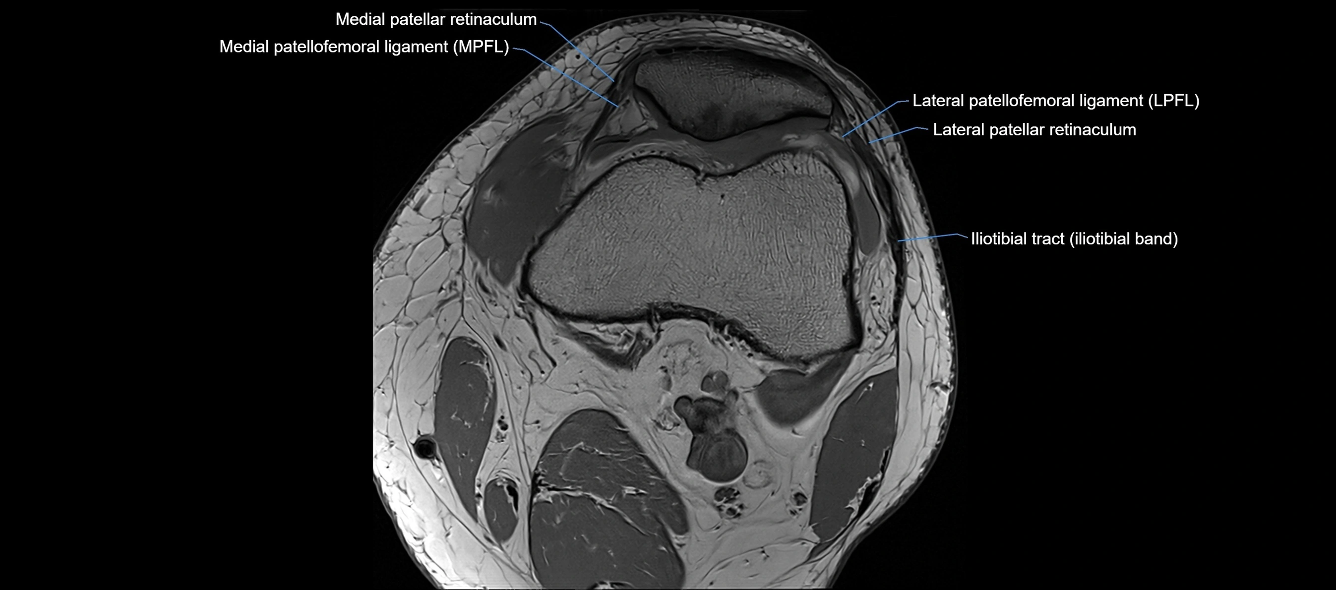
MRI images

image

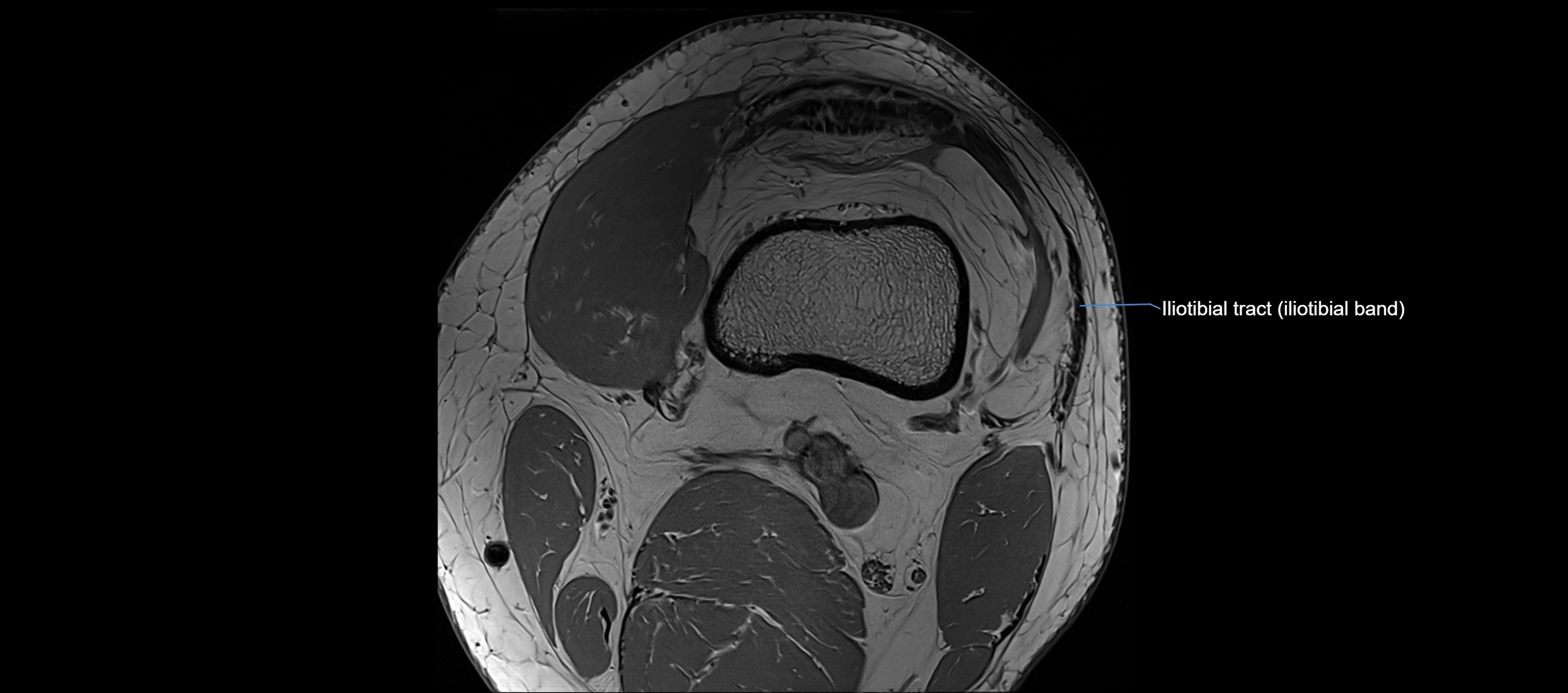
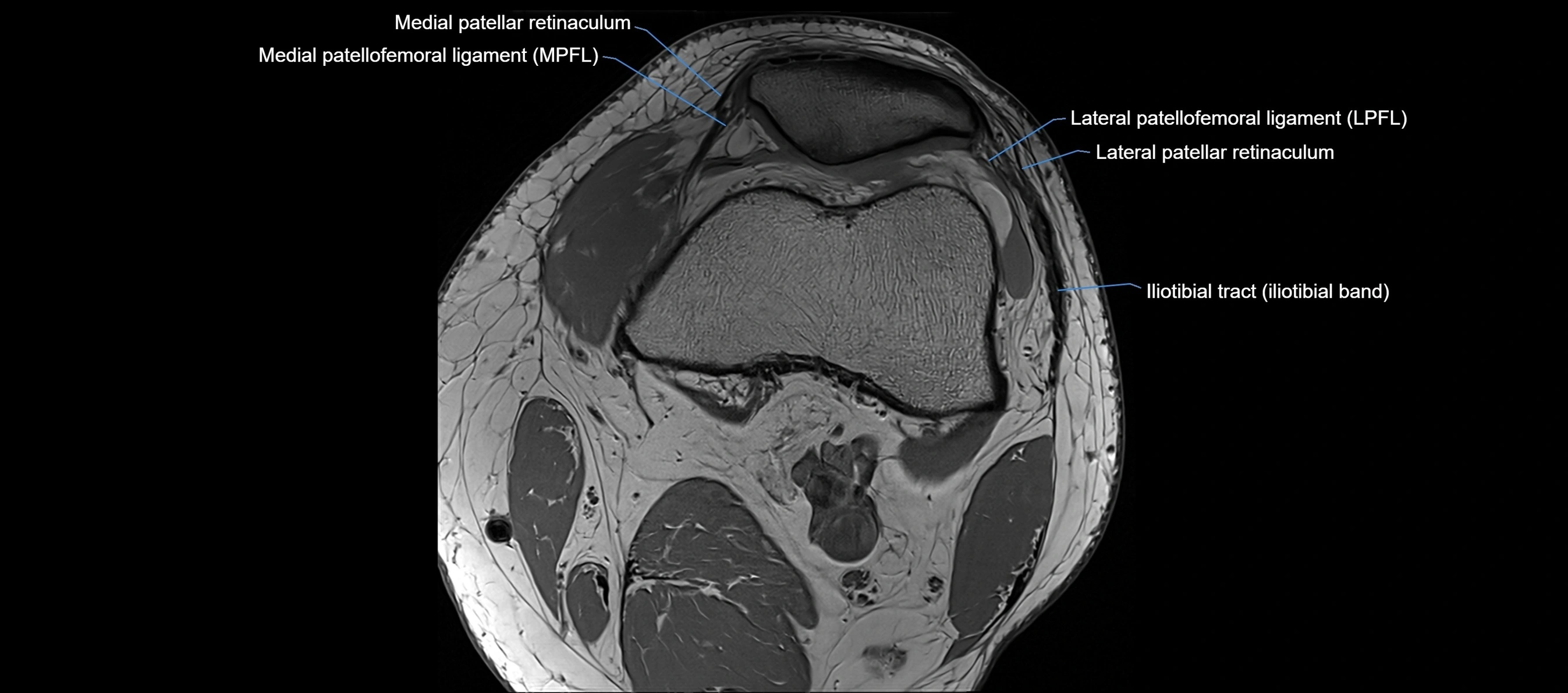
MRI images

image

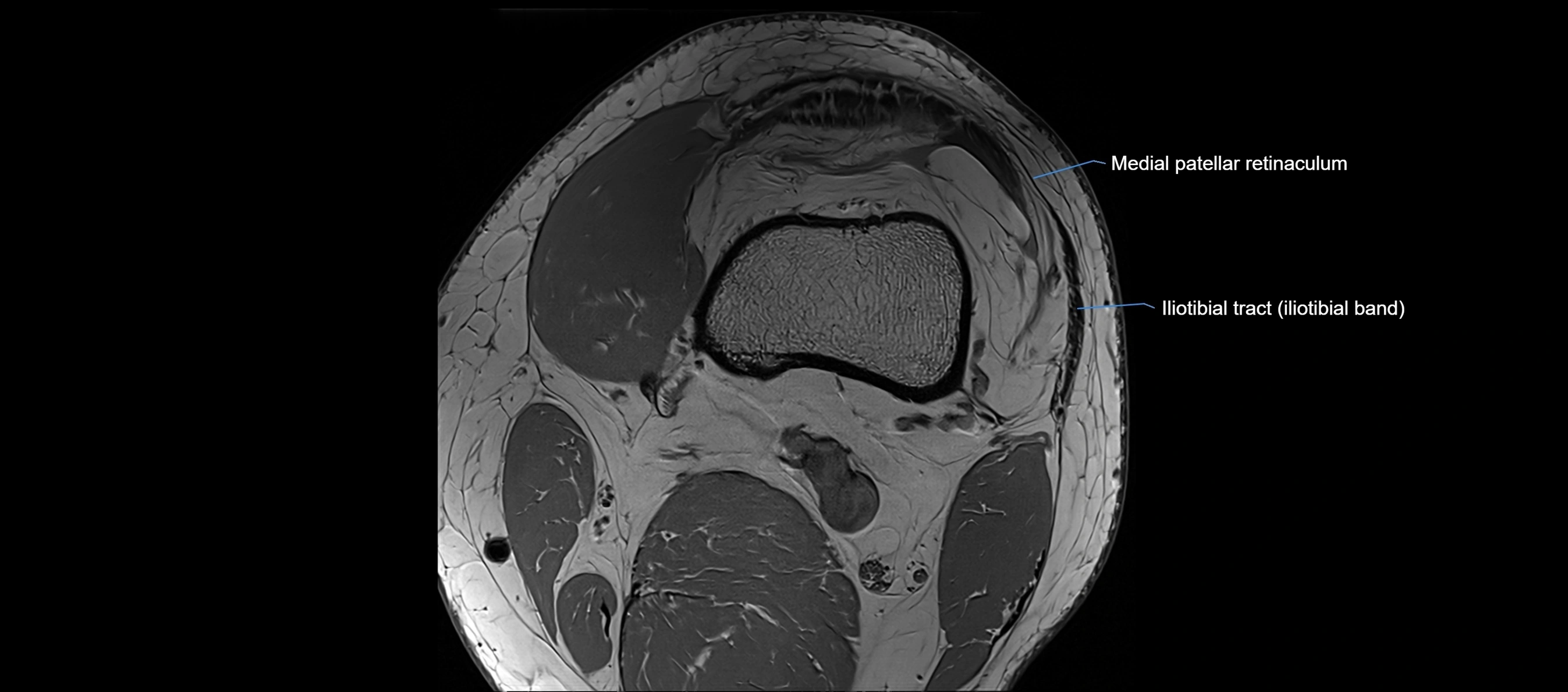
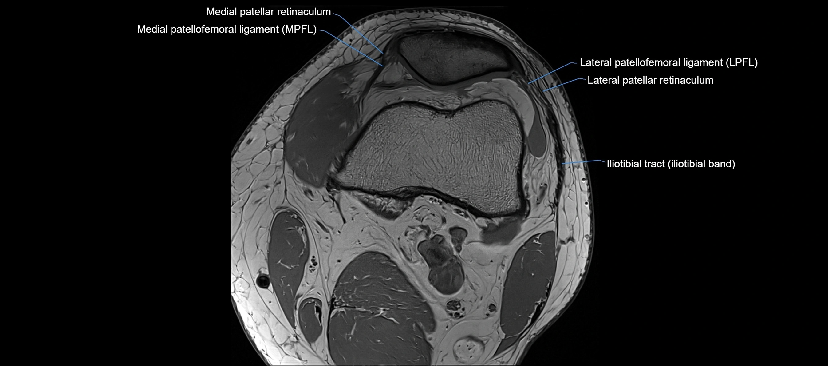
MRI images

image

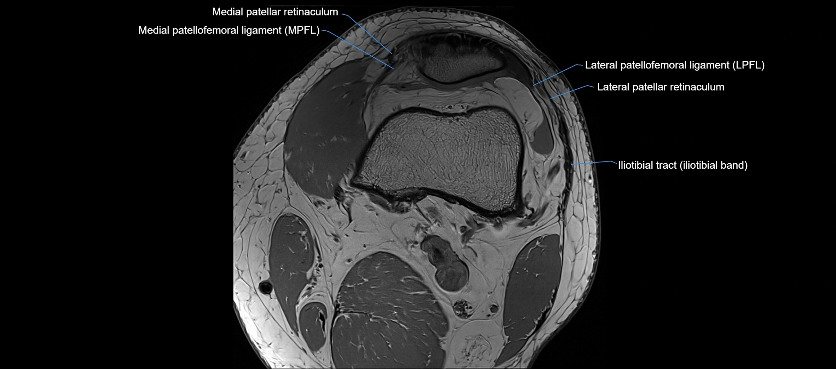
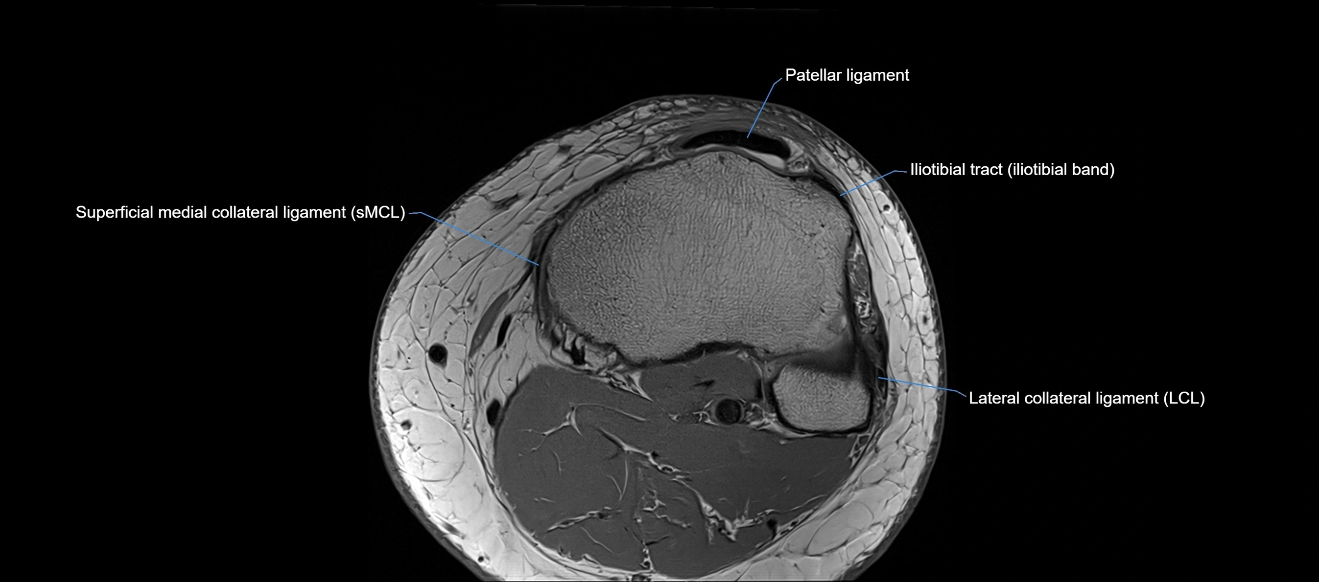
MRI images

image

CT image

image

CT image

image

TEST YOURSELF