Unmatched Clarity in Imaging Anatomy

Experience the next generation of cross-sectional anatomy with our advanced 3T MRI, enhanced by AI-powered Deep Resolve reconstruction. Our ultra-high-resolution imaging (0.3–0.7 mm in-plane resolution) combined with ultra-small field-of-view techniques reveals fine anatomical detail with exceptional clarity, redefining anatomical visualization and education.

MRI Display
Anatomy MRI

Discover Human
Anatomy Like Never Before

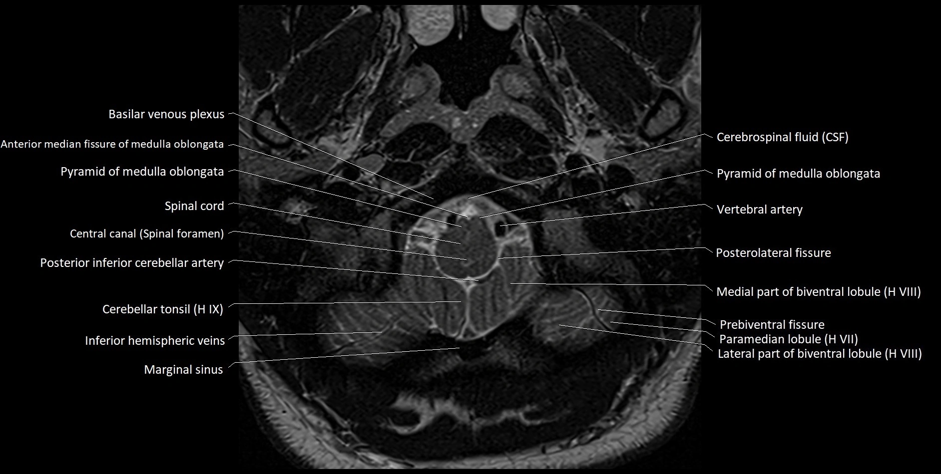
Explore an advanced library of ultra-high-resolution MRI anatomy, developed from hundreds of repeated scans of volunteers using cutting-edge 3T scanners, dedicated coils, and AI-powered enhancement. These images capture real anatomical detail, revealing even the smallest microstructures while preserving the authenticity of true clinical imaging without over-reliance on virtual labeling.

Our platform also features 1 mm high-resolution CT scans in three anatomical planes, detailed labeled anatomy, and an extensive X-ray anatomy collection. Each anatomical region is paired with dynamic quizzes that create new questions every session, helping you build lasting anatomical knowledge through active learning.

Top Reasons to Learn With Us

MRI, CT, X-ray & Visible Human Project anatomy—all in one place

Learn MRI anatomy like never before—49 body parts, 144 planes

Crystal-clear, high-res images for effective large-screen teaching

Clear structure descriptions with CT/MRI appearances

1000s of quizzes to sharpen your anatomy knowledge

Budget-friendly plans, perfect for students

Expertly Labeled by
Experienced Specialists

All our cross-sectional images are meticulously hand-labeled by professionals with over 20 years of experience in cross-sectional imaging. This is the result of over six years of dedicated work, precision, and passion. Every image is individually checked and verified by senior consultant radiologists from major London NHS trusts, each with relevant subspecialty expertise—ensuring the highest level of accuracy and clinical relevance.

Expert Labeling

Explore Anatomy in Unprecedented Detail

Meet Our Team

Dr. James Whitaker
Dr. James Whitaker
Lead Radiologist
MBBS, FCPS
Dr. Daniel Brooks
Dr. Daniel Brooks
Senior MRI Consultant
MD Radiology
Dr. Michael Turner
Dr. Michael Turner
Imaging Technologist 3T MRI
BS Radiologic Technology
Dr. Emily Clarke
Dr. Emily Clarke
AI & Imaging Data Engineer
MS Biomedical Engineering

Get In Touch